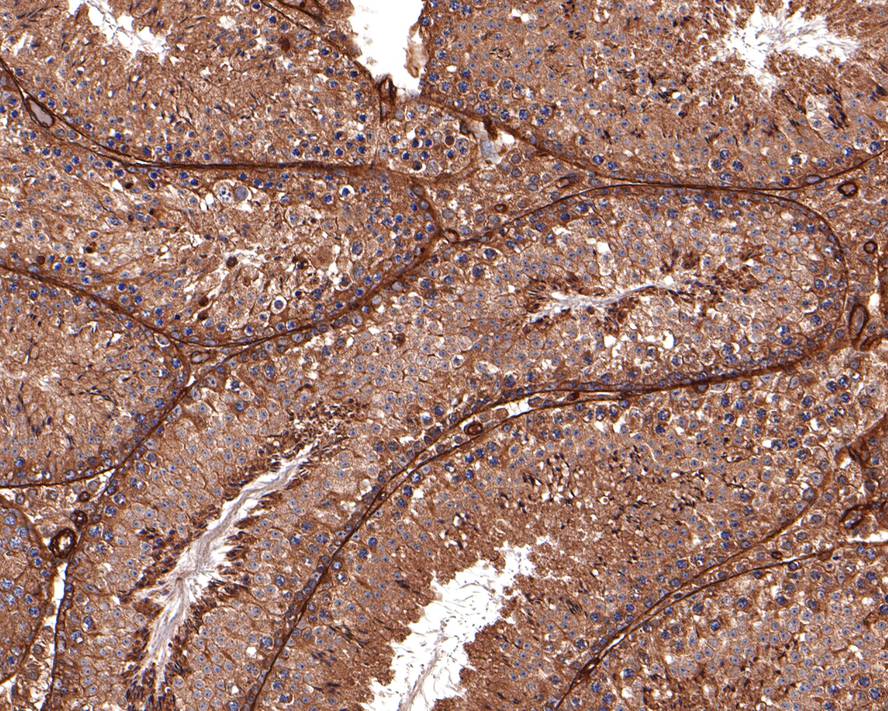
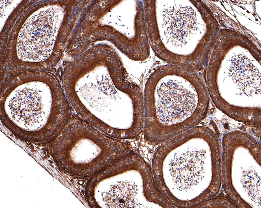
YWHAZ Rabbit Polyclonal Antibody (HA500368)
Catalog# HA500368
Rabbit Polyclonal to YWHAZ
Tested for
-
WB
-
IHC-P
-
IF-Cell
-
FC
Reacts with
-
Human
-
Mouse
-
Rat