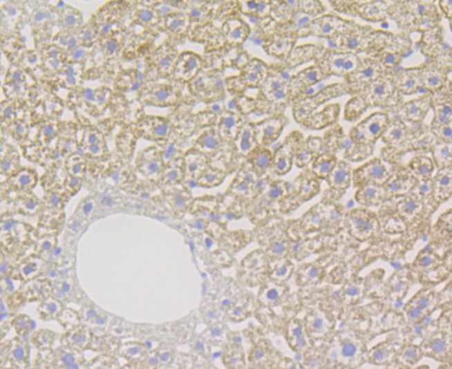
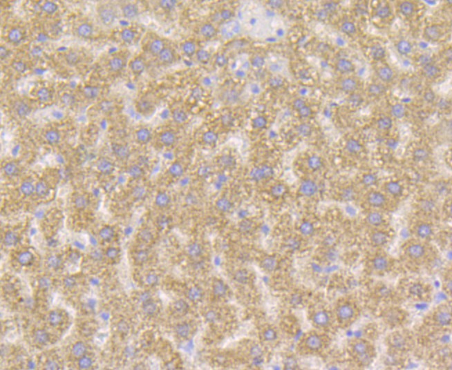
Xanthine Oxidase Recombinant Rabbit Monoclonal Antibody [JG38-40] (ET7108-69)
Catalog# ET7108-69
Rabbit Monoclonal to Xanthine Oxidase
Tested for
-
WB
-
IHC-P
Reacts with
-
Human
-
Mouse
-
Rat
Recombinant production enables lot-to-lot consistency and is animal-cruelty-free