Skip to content

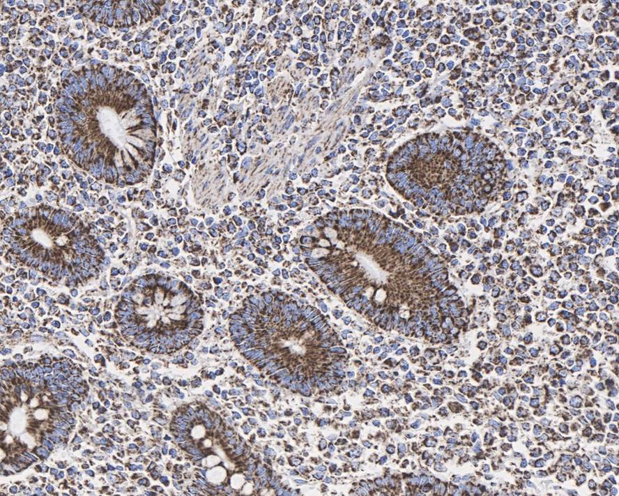
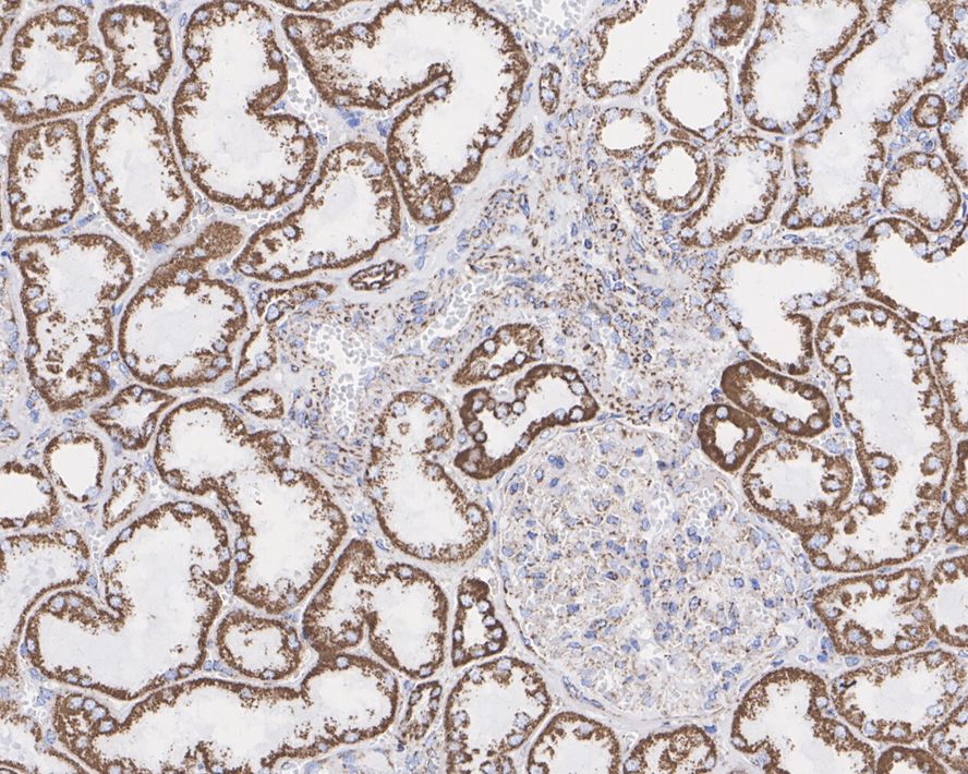
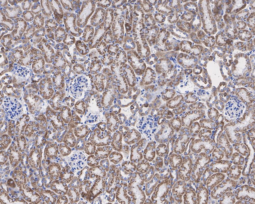
Ubiquinol-Cytochrome C Reductase Core Protein I Recombinant Rabbit Monoclonal Antibody - BSA and Azide free [PSH01-23] (HA750699)

Price: Regular price $649.00

Unit price per 

Product size

Catalog# HA750699

Rabbit Monoclonal to Ubiquinol-Cytochrome C Reductase Core Protein I

Tested for
  • WB

  • IHC-P

  • IF-Tissue

  • IF-Cell

Reacts with
  • Human

  • Mouse

  • Rat

Recombinant production enables lot-to-lot consistency and is animal-cruelty-free
Close (esc)

Popup

Use this popup to embed a mailing list sign up form. Alternatively use it as a simple call to action with a link to a product or a page.

Age verification

By clicking enter you are verifying that you are old enough to consume alcohol.

Search

Your cart is currently empty.
Shop now