Skip to content

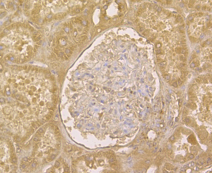
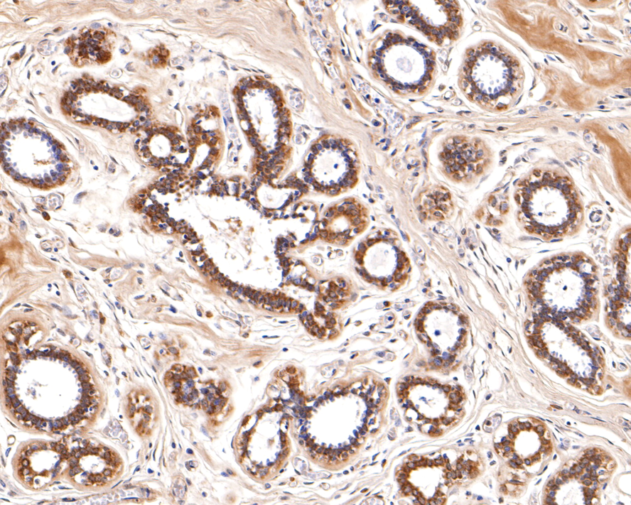
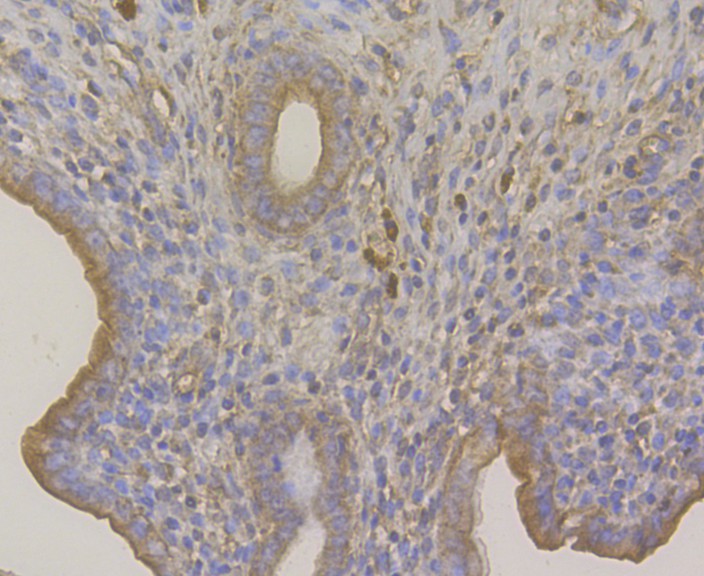
TRADD Rabbit Polyclonal Antibody (ER1901-79)

Price: Regular price $315.00

Unit price per 

Volume

Catalog# ER1901-79

Rabbit Polyclonal to TRADD

Tested for
  • WB

  • IF-Cell

  • IHC-P

Reacts with
  • Human

  • Mouse

  • Rat

Close (esc)

Popup

Use this popup to embed a mailing list sign up form. Alternatively use it as a simple call to action with a link to a product or a page.

Age verification

By clicking enter you are verifying that you are old enough to consume alcohol.

Search

Your cart is currently empty.
Shop now