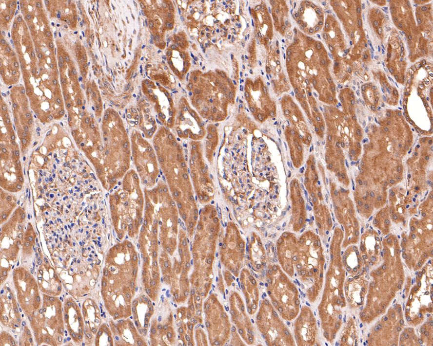
TNFSF14 Rabbit Polyclonal Antibody (HA500384)
Catalog# HA500384
Rabbit Polyclonal to TNFSF14
Tested for
-
WB
-
IHC-P
Reacts with
-
Human
-
Mouse