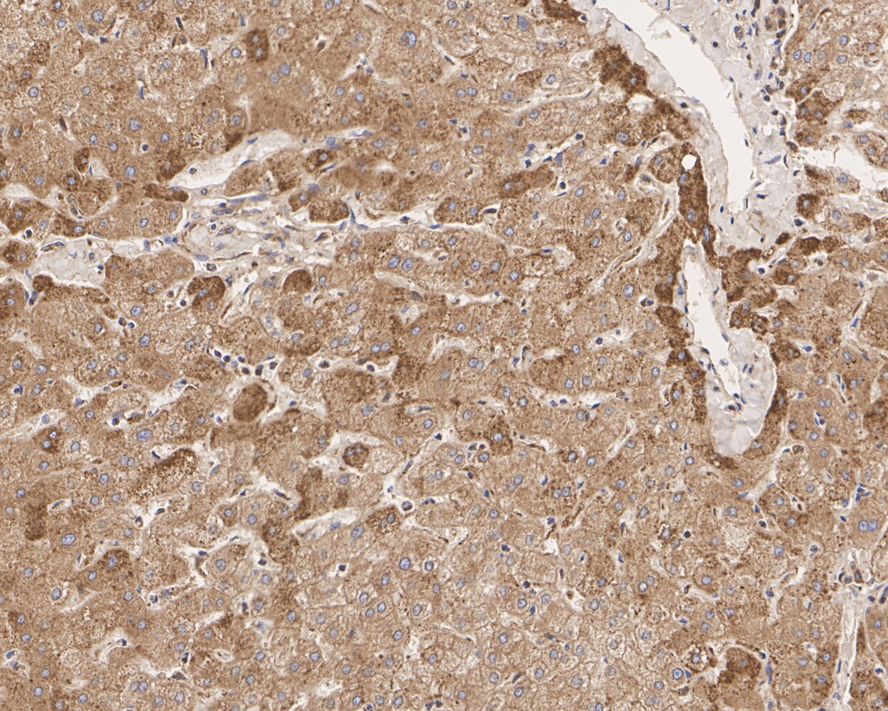
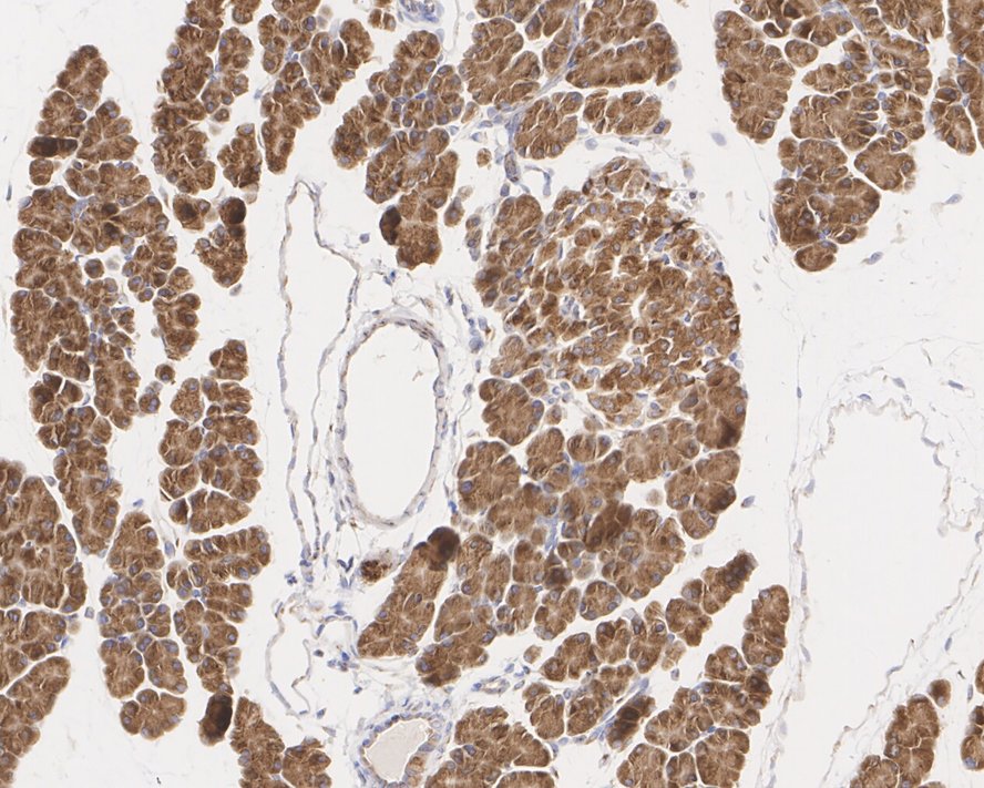
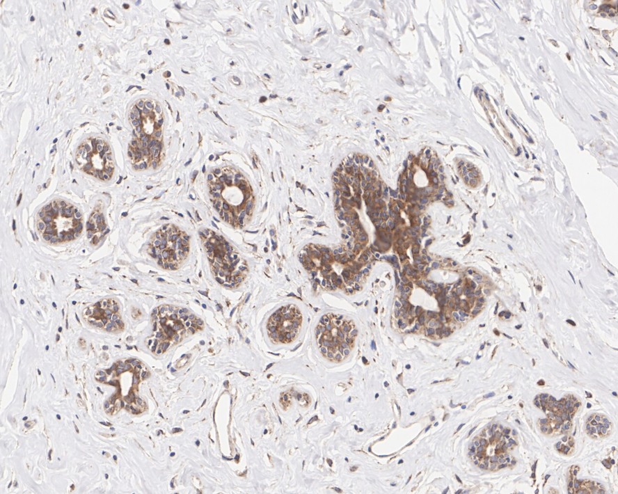
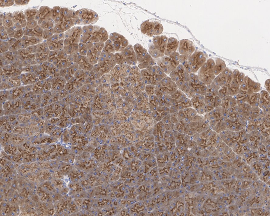
TMP21 Recombinant Rabbit Monoclonal Antibody [PSH01-41] (HA721679)
Catalog# HA721679
Rabbit Monoclonal to TMP21
Tested for
-
WB
-
IHC-P
-
IF-Tissue
-
IF-Cell
-
FC
Reacts with
-
Human
-
Mouse
-
Rat
Recombinant production enables lot-to-lot consistency and is animal-cruelty-free