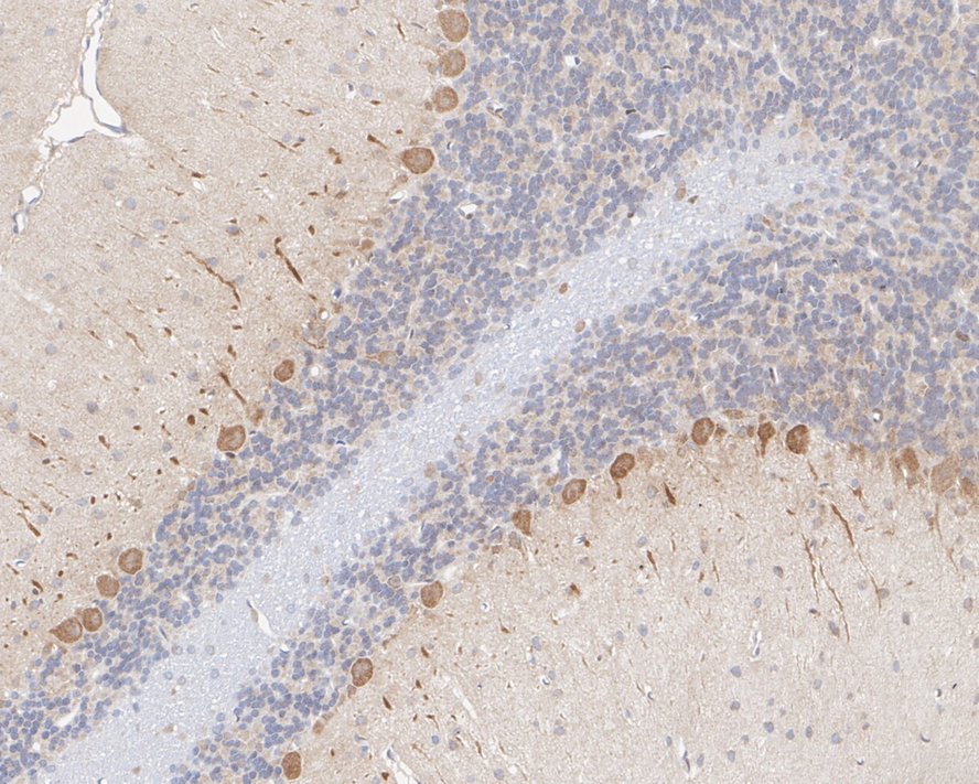
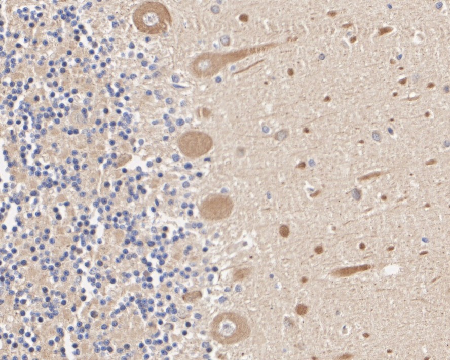
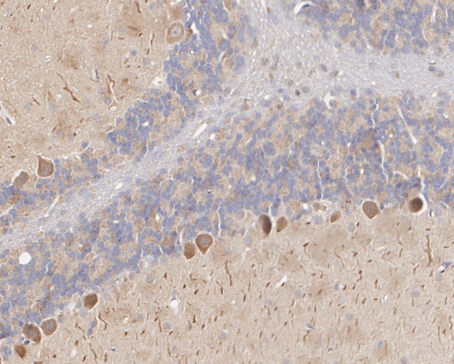
Smad2 Recombinant Rabbit Monoclonal Antibody - BSA and Azide free [SP06-05] (HA750073)
Catalog# HA750073
Rabbit Monoclonal to Smad2
Tested for
-
WB
-
IF-Cell
-
IHC-P
-
IP
-
FC
Reacts with
-
Human
-
Mouse
-
Rat
Recombinant production enables lot-to-lot consistency and is animal-cruelty-free
Knock-Out or Knock-Down validated