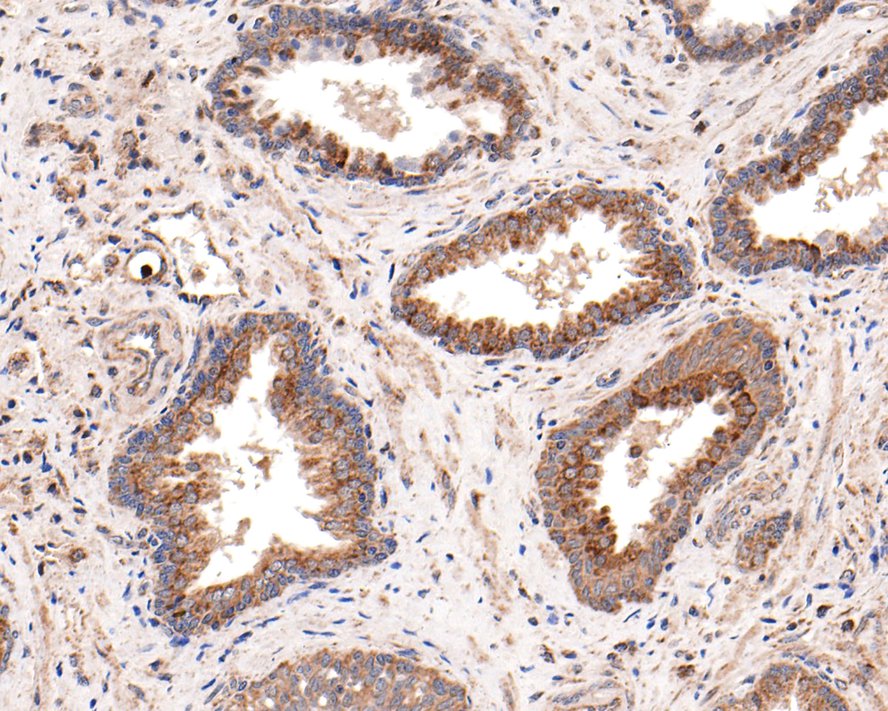
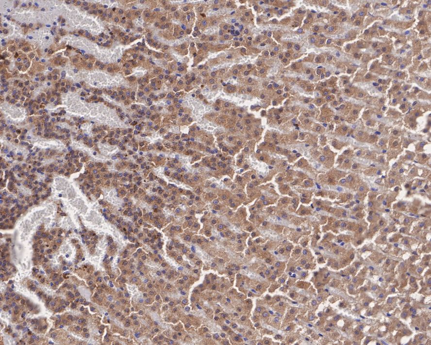
Ret Recombinant Rabbit Monoclonal Antibody - BSA and Azide free [SN20-28] (HA750280)
Catalog# HA750280
Rabbit Monoclonal to Ret
Tested for
-
WB
-
IF-Cell
-
IF-Tissue
-
IHC-P
-
IP
-
FC
Reacts with
-
Human
-
Mouse
-
Rat
Recombinant production enables lot-to-lot consistency and is animal-cruelty-free