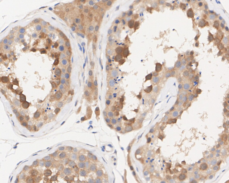
RAIDD Recombinant Rabbit Monoclonal Antibody [JE47-11] (HA722353)
Catalog# HA722353
Rabbit Monoclonal to RAIDD
Tested for
-
WB
-
IHC-P
Reacts with
-
Human
-
Rat
Recombinant production enables lot-to-lot consistency and is animal-cruelty-free