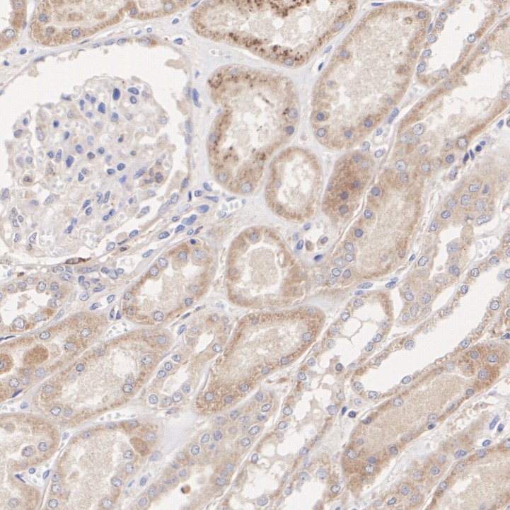
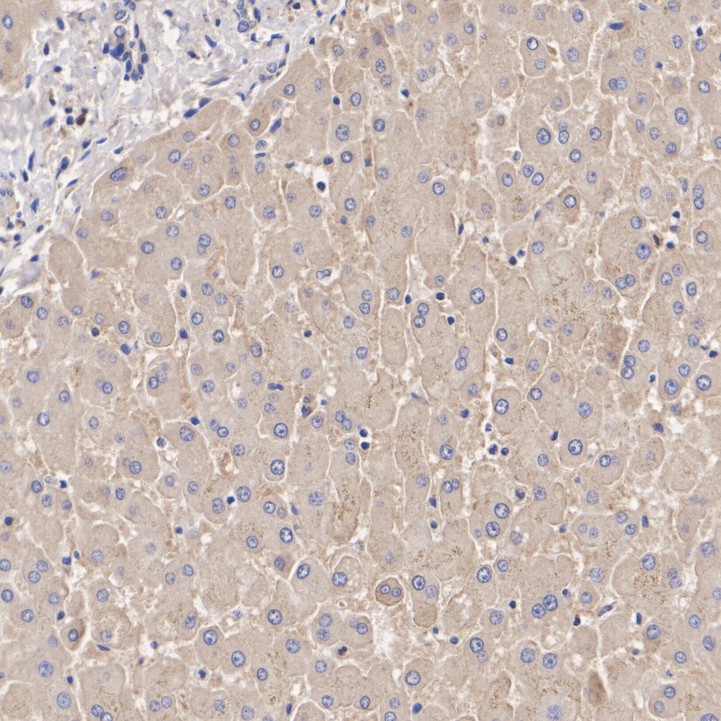
RAB11FIP3 Rabbit Polyclonal Antibody (ER1902-80)
Catalog# ER1902-80
Rabbit Polyclonal to Rab11-FIP3
Tested for
-
WB
-
IHC-P
Reacts with
-
Human
-
Mouse
-
Rat