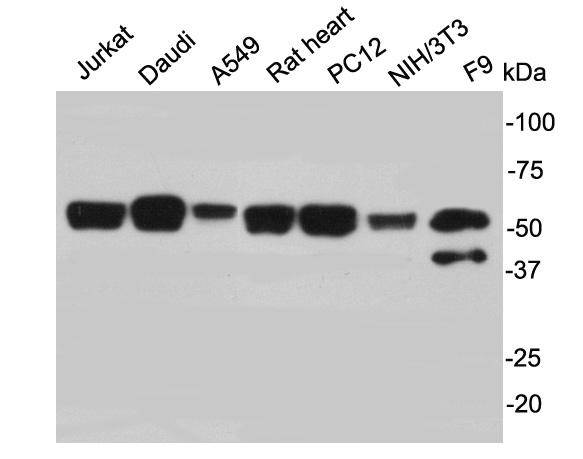
PTBP1 Rabbit Polyclonal Antibody (R1403-2)
Catalog# R1403-2
Rabbit Polyclonal to PTBP1
Tested for
-
WB
-
IF-Cell
-
IHC-P
Reacts with
-
Human
-
Mouse
-
Rat