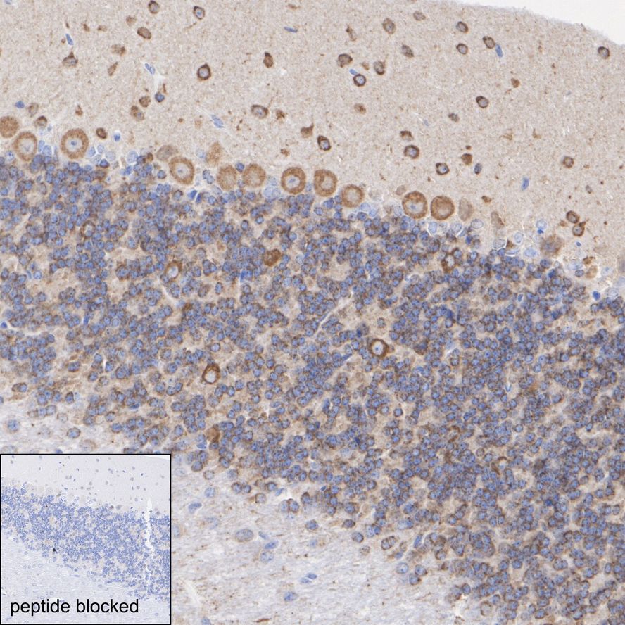
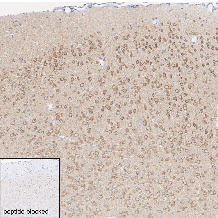
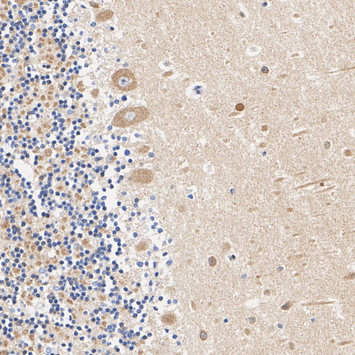
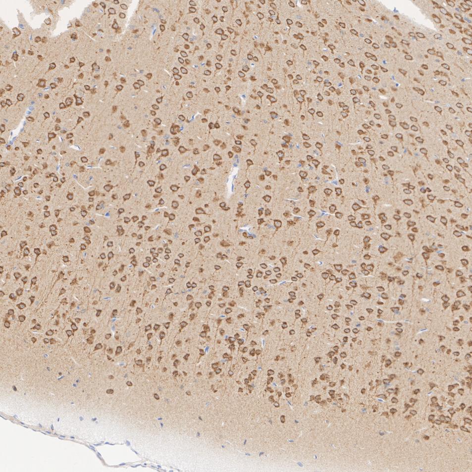
Presenilin 1 / PS-1 Recombinant Rabbit Monoclonal Antibody - BSA and Azide free [PSH08-49] (HA751224)
Catalog# HA751224
Rabbit Monoclonal to Presenilin 1 / PS-1
Tested for
-
IHC-P
-
IHC-Fr
-
IF-Tissue
Reacts with
-
Human
-
Mouse
-
Rat
-
Cynomolgus monkey
-
Pig
Recombinant production enables lot-to-lot consistency and is animal-cruelty-free