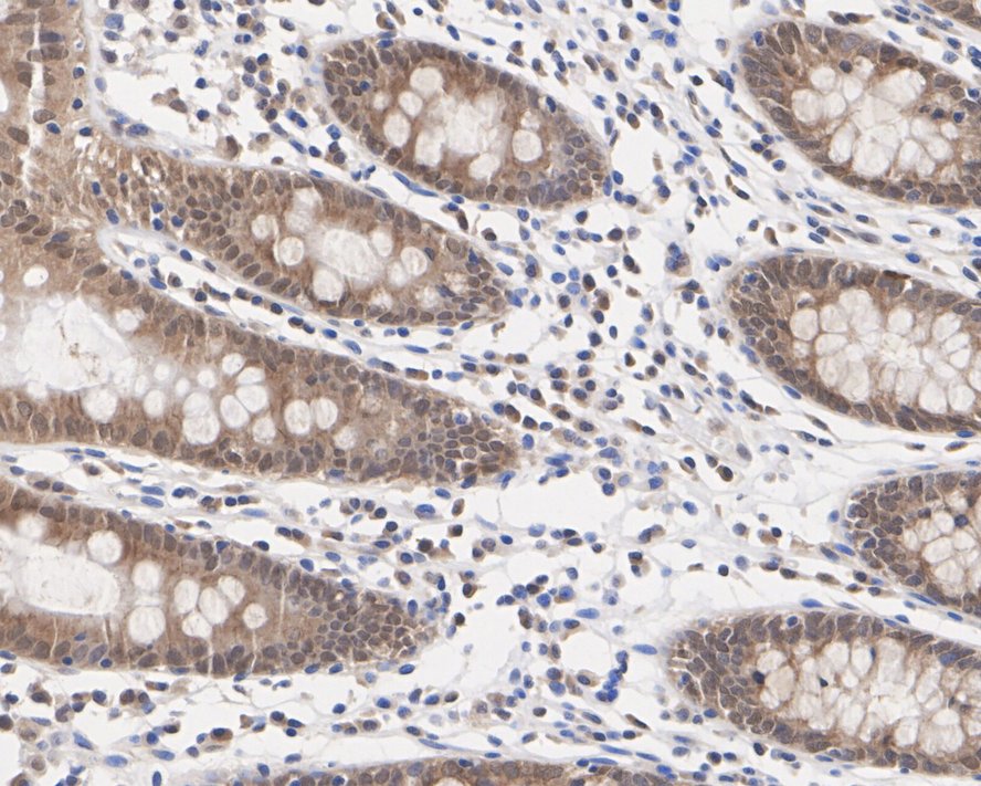
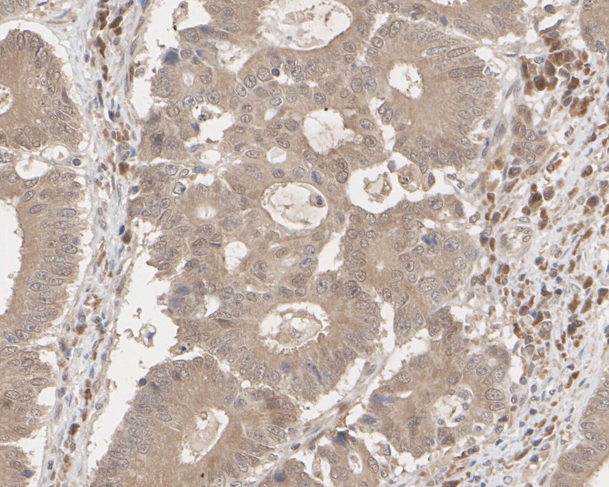
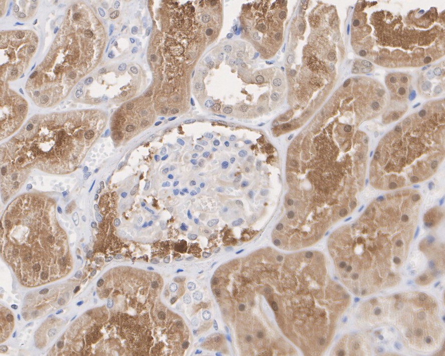
PPCS Recombinant Rabbit Monoclonal Antibody [JE63-91] (HA722435)
Catalog# HA722435
Rabbit Monoclonal to PPCS
Tested for
-
WB
-
IHC-P
-
IF-Tissue
-
FC
-
IP
Reacts with
-
Human
Recombinant production enables lot-to-lot consistency and is animal-cruelty-free