Skip to content

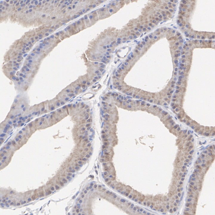
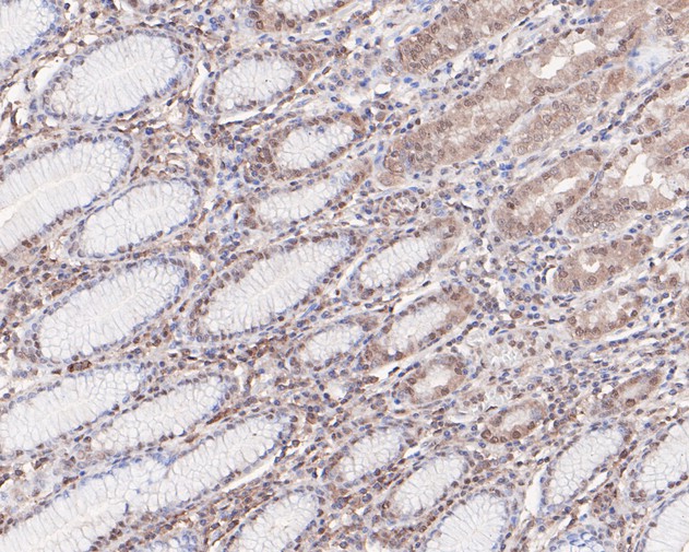
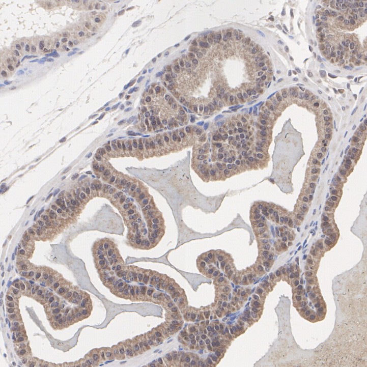
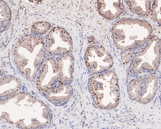
PP1C gamma Rabbit Polyclonal Antibody (HA500138)

Price: Regular price $315.00

Unit price per 

Volume

Catalog# HA500138

Rabbit Polyclonal to PP1C gamma

Tested for
  • WB

  • IHC-P

  • IF-Cell

  • FC

Reacts with
  • Human

  • Mouse

  • Rat

This product has been cited in peer reviewed publications, see list HERE
Close (esc)

Popup

Use this popup to embed a mailing list sign up form. Alternatively use it as a simple call to action with a link to a product or a page.

Age verification

By clicking enter you are verifying that you are old enough to consume alcohol.

Search

Your cart is currently empty.
Shop now