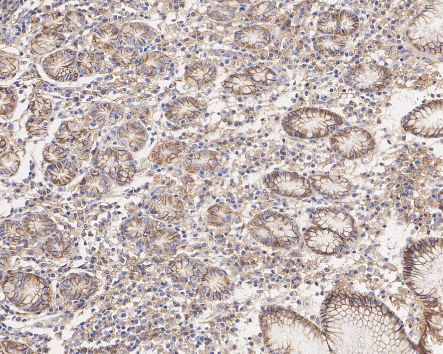
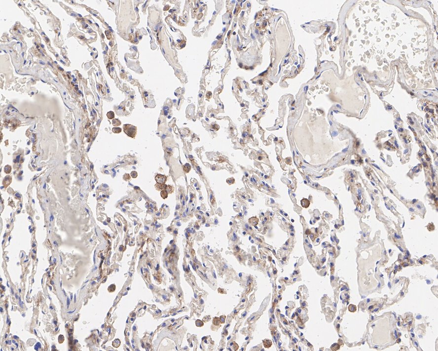
PMCA1 Recombinant Rabbit Monoclonal Antibody [JE34-05] (HA722186)
Catalog# HA722186
Rabbit Monoclonal to PMCA1
Tested for
-
WB
-
IHC-P
Reacts with
-
Human
-
Mouse
-
Rat
Recombinant production enables lot-to-lot consistency and is animal-cruelty-free