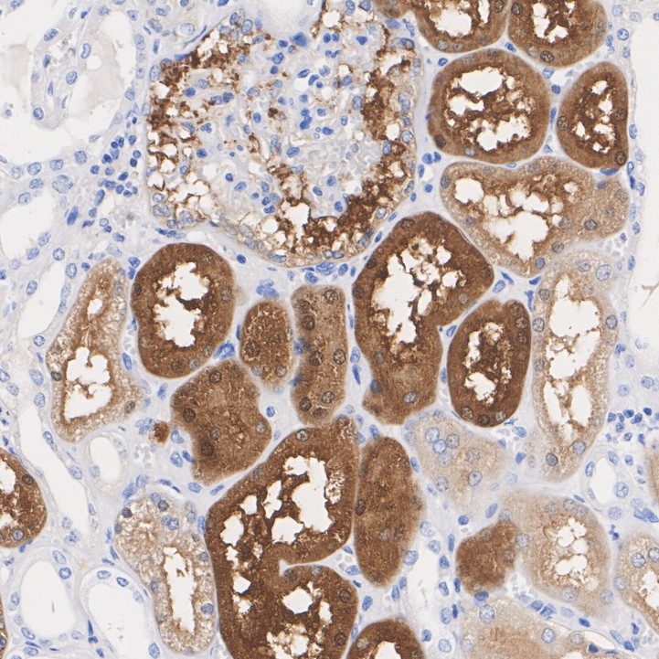
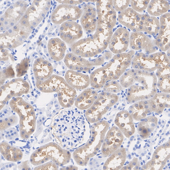
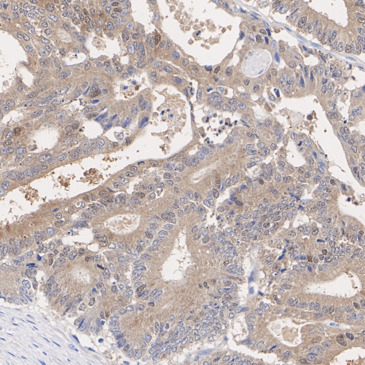
Phosphoserine aminotransferase Recombinant Rabbit Monoclonal Antibody [PSH08-99] (HA723052)
Catalog# HA723052
Rabbit Monoclonal to Phosphoserine aminotransferase
Tested for
-
WB
-
IHC-P
-
FC
-
IP
Reacts with
-
Human
-
Mouse
-
Rat
Recombinant production enables lot-to-lot consistency and is animal-cruelty-free