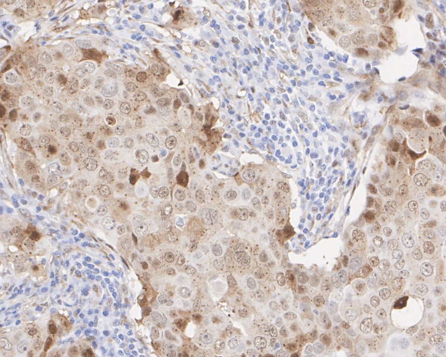
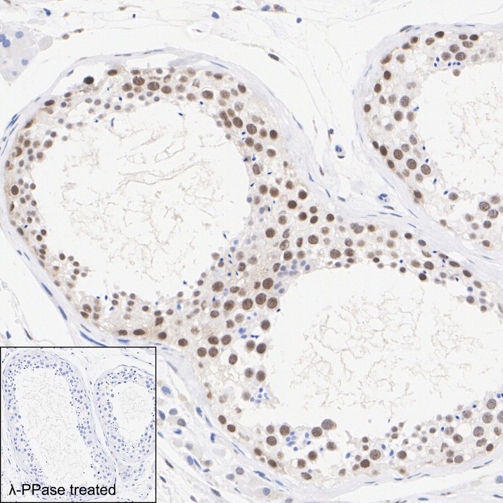
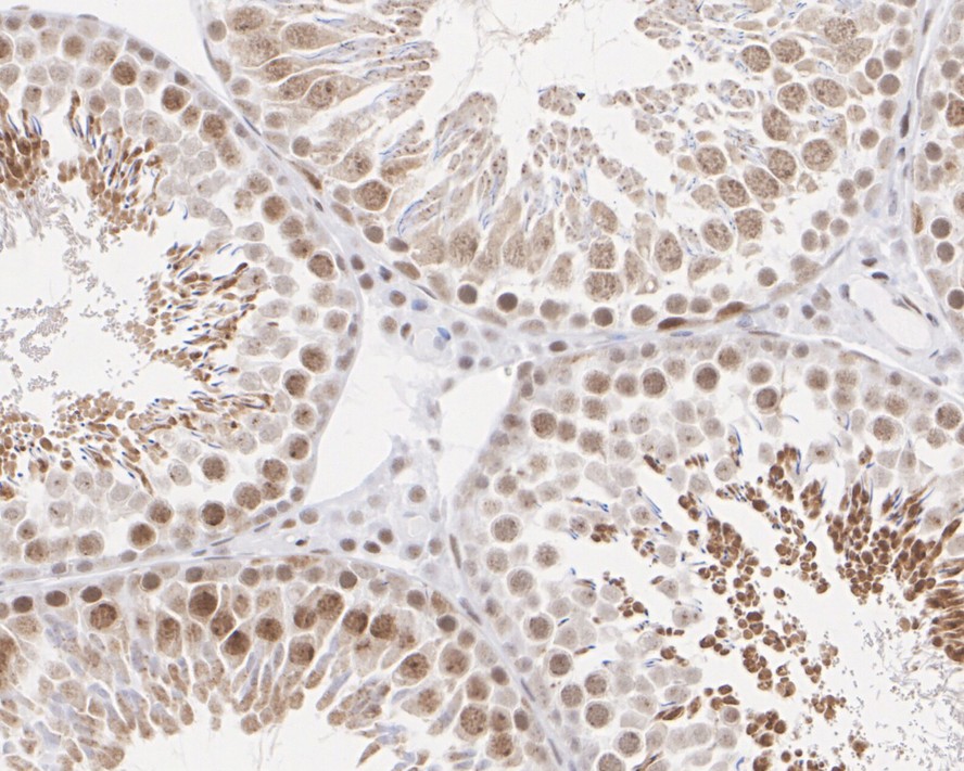
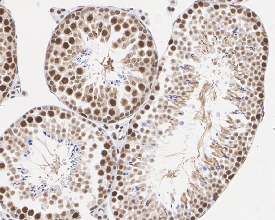
Phospho-UBF1 (S484) Recombinant Rabbit Monoclonal Antibody [JE77-43] (HA722477)
Catalog# HA722477
Rabbit Monoclonal to Phospho-UBF1 (S484)
Tested for
-
WB
-
IHC-P
Reacts with
-
Human
-
Mouse
-
Rat
Recombinant production enables lot-to-lot consistency and is animal-cruelty-free