Skip to content

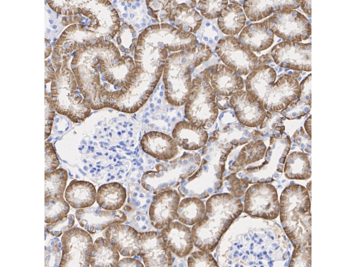
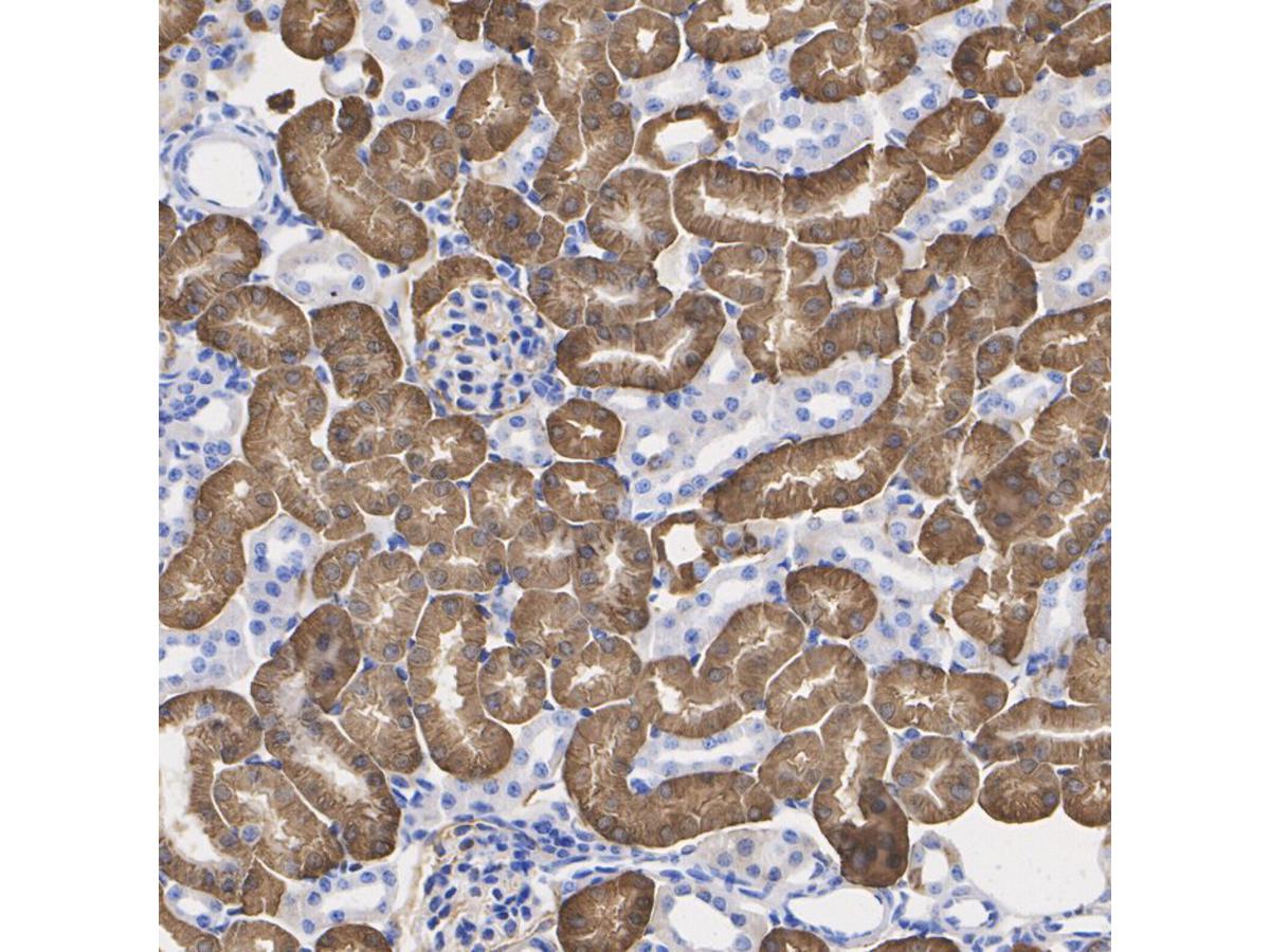
Phospho-NDRG1 (T346) Recombinant Rabbit Monoclonal Antibody [PSH07-17] (HA722805)

Price: Regular price $385.00

Unit price per 

Product size

Catalog# HA722805

Rabbit Monoclonal to Phospho-NDRG1 (T346)

Tested for
  • WB

  • IHC-P

  • IF-Cell

  • FC

  • IF-Tissue

Reacts with
  • Human

  • Mouse

  • Rat

Recombinant production enables lot-to-lot consistency and is animal-cruelty-free
Close (esc)

Popup

Use this popup to embed a mailing list sign up form. Alternatively use it as a simple call to action with a link to a product or a page.

Age verification

By clicking enter you are verifying that you are old enough to consume alcohol.

Search

Your cart is currently empty.
Shop now