Phospho-JNK1/2/3 (T183 + T183 + T221) Recombinant Rabbit Monoclonal Antibody [ST500] (ET1609-42)
Catalog# ET1609-42
Rabbit Monoclonal to Phospho-JNK1/2/3 (JNK1(T183)+JNK2(T183)+JNK3(T221))
-
WB
-
IF-Cell
-
IF-Tissue
-
IHC-P
-
IP
-
FC
-
IHC-Fr
-
Human
-
Mouse
-
Rat
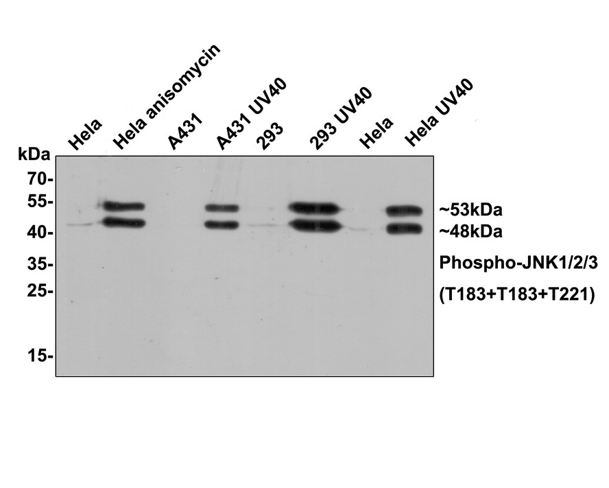
Western blot analysis of Phospho-JNK1/2/3 (T183 + T183 + T221) on different lysates with Rabbit anti-Phospho-JNK1/2/3 (T183 + T183 + T221) antibody (ET1609-42) at 1/1,000 dilution.
Lane 1: Hela cell lysate, untreated (10 µg/Lane)
Lane 2: Hela cell lysate, treated with Anisomycin (10 µg/Lane)
Lane 3: A431 cell lysate, untreated (10 µg/Lane)
Lane 4: A431 cell lysate, treated with UV40 (10 µg/Lane)
Lane 5: 293 cell lysate, untreated (10 µg/Lane)
Lane 6: 293 cell lysate, treated with UV40 (10 µg/Lane)
Lane 7: Hela cell lysate, untreated (10 µg/Lane)
Lane 8: Hela cell lysate, treated with UV40 (10 µg/Lane)
Predicted band size: 48/53 kDa
Observed band size: 48/53 kDa
Exposure time: 2 minutes;
12% SDS-PAGE gel.
Proteins were transferred to a PVDF membrane and blocked with 5% NFDM/TBST for 1 hour at room temperature. The primary antibody (ET1609-42) at 1/1,000 dilution was used in 5% NFDM/TBST at room temperature for 2 hours. Goat Anti-Rabbit IgG - HRP Secondary Antibody (HA1001) at 1:300,000 dilution was used for 1 hour at room temperature.
Safety datasheet
Select your chosen country/region
- MSDS_HUABIO.pdf
- MSDS_HUABIO.pdf
- MSDS_ET1609-42_Europe.pdf
- No MSDS Found
COA DOWNLOAD
- No COA Found
Specifications
Product Type
Recombinant Rabbit monoclonal primary
Product Name
Phospho-JNK1/2/3 (T183 + T183 + T221) Recombinant Rabbit Monoclonal Antibody [ST500] (ET1609-42)
Immunogen
Synthetic phospho-peptide corresponding to residues surrounding thr183 of human jnk1 aa 161-204 / 427.
Host
Rabbit
Modification
Phospho
Modification Site
JNK1(T183)+JNK2(T183)+JNK3(T221)
Positive Control
A431 cell lysate treated with UV40, 293 cell lysate treated with UV40, Hela cell lysate treated with UV40, HeLa treated with 25μg/mL Anisomycin for 30 minutes cell lysate, NIH/3T3 treated with 25μg/mL Anisomycin for 30 minutes cell lysate, C6 treated with 25ug/mL Anisomycin for 30 minutes cell lysate, Hela, NIH/3T3, HUVEC, human colon tissue, human endometrium tissue, mouse heart tissue, rat liver tissue, rat kidney tissue.
Conjugation
Unconjugated
Clonality
Monoclonal
Clone Number
ST500
RRID
APPLICATION DILUTION
-
WB
-
1:2,000-1:5,000
-
IF-Cell
-
1:100-1:200
-
IF-Tissue
-
1:200-1:500
-
IHC-P
-
1:400-1:1,000
-
FC
-
1:500-1:1,000
-
IP
-
Use at an assay dependent concentration.
-
IHC-Fr:1:100-1:500
PROPERTIES
Form
Liquid
Storage Condition
Shipped at 4℃. Store at +4℃ short term (1-2 weeks). It is recommended to aliquot into single-use upon delivery. Store at -20℃ long term.
Storage Buffer
1*TBS (pH7.4), 0.05% BSA, 40% Glycerol. Preservative: 0.05% Sodium Azide.
Concentration
1ug/ul
Purification
Protein A affinity purified.
Molecular Weight
Predicted band size: 48/53 kDa
Isotype
IgG
TARGET
UNIPROT #
PROTEIN NAME
Phospho-JNK1/2/3 (JNK1(T183)+JNK2(T183)+JNK3(T221))
SYNONYMS
C Jun kinase 2 antibody;c Jun N terminal kinase 1 antibody;c Jun N terminal kinase 2 antibody;c Jun N terminal kinase 3 antibody;c-Jun N-terminal kinase 1 antibody;JNK 46 antibody;JNK 55 antibody;JNK antibody;JNK-46 antibody;JNK1 antibody;JNK1A2 antibody;JNK2 antibody;JNK21B1/2 antibody;JNK2A antibody;JNK2ALPHA antibody;JNK2B antibody;JNK2BETA antibody;JNK3 alpha protein kinase antibody;JNK3 antibody;JNK3A antibody;Jun kinase antibody;JUN N terminal kinase antibody;MAP kinase 10 antibody;MAP kinase 8 antibody;MAP kinase 9 antibody;MAP kinase p49 3F12 antibody;MAPK 10 antibody;MAPK 8 antibody;MAPK 9 antibody;MAPK10 antibody;mapk8 antibody;MAPK9 antibody;Mitogen activated protein kinase 10 antibody;Mitogen activated protein kinase 8 antibody;Mitogen activated protein kinase 8 isoform JNK1 alpha1 antibody;Mitogen activated protein kinase 8 isoform JNK1 beta2 antibody;Mitogen activated protein kinase 9 antibody;Mitogen-activated protein kinase 8 antibody;MK08_HUMAN antibody;p493F12 antibody;p54a antibody;p54aSAPK antibody;p54bSAPK antibody;PRKM10 antibody;PRKM8 antibody;PRKM9 antibody;SAPK antibody;SAPK(beta) antibody;SAPK1 antibody;SAPK1a antibody;SAPK1b antibody;SAPK1c antibody;Stress activated protein kinase 1 antibody;Stress activated protein kinase 1a antibody;Stress activated protein kinase 1b antibody;Stress activated protein kinase 1c antibody;Stress activated protein kinase beta antibody;Stress activated protein kinase JNK1 antibody;Stress activated protein kinase JNK2 antibody;Stress activated protein kinase JNK3 antibody;Stress-activated protein kinase 1c antibody;Stress-activated protein kinase JNK1 antibody
SEQUENCE SIMILARITIES
Belongs to the protein kinase superfamily. CMGC Ser/Thr protein kinase family. MAP kinase subfamily.
POST-TRANSLATIONAL MODIFICATION
Dually phosphorylated on Thr-183 and Tyr-185 by MAP2K7 and MAP2K4, which activates the enzyme. Phosphorylated by TAOK2. May be phosphorylated at Thr-183 and Tyr-185 by MAP3K1/MEKK1. Phosphorylated form is more concentrated at synapses than none-phosphorylated (By similarity).
SUBCELLULAR LOCATION
Cytoplasm, Membrane, Mitochondrion, Nucleus.
FUNCTION
JNKs (c-Jun N-terminal kinases) belong to a family of MAP kinases that are involved in a variety of cellular processes, including transcriptional regulation and cellular proliferation, differentiation and development. JNK2 (c-Jun N-terminal kinase 2) and JNK3 (c-Jun N-terminal kinase 3) are 424 and 464 amino acid proteins, respectively, that each contain one protein kinase domain and use magnesium as a cofactor to catalyze the phosphorylation of target proteins, thereby playing a role in a variety of events throughout the cell. Both JNK2 and JNK3 exist as multiple alternatively spliced isoforms and are subject to post-translational phosphorylation on Thr 183 and Thr 221, respectively, an event which activates JNK2/JNK3 enzymatic activity. Defects in the gene encoding JNK3 are a cause of epileptic encephalopathy of the Lennox-Gastaut type, a group of epileptic disorders characterized by severe psychomotor delay and seizures.
CITATIONS
-
Gong, Y., Qiu, J., Ye, J., Jiang, T., Zhang, W., Zheng, X., Zhu, Z., Chen, L., Wang, Z., Mi, S., & Hong, Z.
AZ-628 delays osteoarthritis progression via inhibiting the TNF-α-induced chondrocyte necroptosis and regulating osteoclast formation
-
WB
-
Mouse
-
Citation
-
-
Chlorothalonil induces the intestinal epithelial barrier dysfunction in Caco-2 cell-based in vitro monolayer model by activating MAPK pathway
-
WB
-
Human
-
Citation
-
-
Huang Z , Dai L, Peng F,et al
mTOR signaling pathway regulates embryonic development and rapid growth of triploid crucian carp
-
WB
-
Mouse
-
Citation
-
-
Wang Jinyang,et al
Edaravone Dexborneol ameliorates the cognitive deficits of APP/PS1 mice by inhibiting TLR4/MAPK signaling pathway via upregulating TREM2
-
WB
-
Mouse
-
Citation
-
-
Ji, X., Du, W., Che, W., Wang, L., & Zhao, L.
Apigenin Inhibits the Progression of Osteoarthritis by Mediating Macrophage Polarization
-
WB
-
Mouse
-
Citation
-
-
Resveratrol inhibits autophagy against myocardial ischemia-reperfusion injury through the DJ-1/MEKK1/JNK pathway
-
WB
-
Rat
-
Citation
-
-
Chao Shen
Exopolysaccharide from Cryptococcus heimaeyensis S20 induces autophagic cell death in non-small cell lung cancer cells via ROS/p38 and ROS/ERK signalling
-
WB
-
IHC
-
Human
-
Citation
-
-
Li, H., Ou, G., He, Y., Ren, L., Yang, X., & Zeng, M.
Resveratrol attenuates the MSU crystal-induced inflammatory response through the inhibition of TAK1 activity. International immunopharmacology, 67, 62–68.
-
WB
-
Human
-
Citation
-
-
Hyperglycemia modulates M1/M2 macrophage polarization via reactive oxygen species overproduction in ligature-induced periodontitis
-
WB
-
Mouse
-
Citation
-
-
Chen Lingfeng,et al
Discovery of LC-MI-3: A Potent and Orally Bioavailable Degrader of Interleukin-1 Receptor-Associated Kinase 4 for the Treatment of Inflammatory Diseases
-
WB
-
Mouse
-
Citation
-
-
Pang, Y., Zhao, L., Ji, X., Guo, K., & Yin, X.
Analyses of Transcriptomics upon IL-1β-Stimulated Mouse Chondrocytes and the Protective Effect of Catalpol through the NOD2/NF-κB/MAPK Signaling Pathway
-
WB
-
Mouse
-
Citation
-
-
PD0325901, an ERK inhibitor, attenuates RANKL-induced osteoclast formation and mitigates cartilage inflammation by inhibiting the NF-κB and MAPK pathways
-
WB
-
Mouse
-
Citation
-
-
Chunyan Dong,et al
GLP-1RAs attenuated obesity and reversed leptin resistance partly via activating the microbiome-derived inosine/A2A pathway
-
WB
-
Mouse
-
Citation
-
-
Li, P., Yang, Y., Lin, Z., Hong, S., Jiang, L., Zhou, H., Yang, L., Zhu, L., Liu, X., & Liu, L.
Bile Duct Ligation Impairs Function and Expression of Mrp1 at Rat Blood-Retinal Barrier via Bilirubin-Induced P38 MAPK Pathway Activations
-
WB
-
Human
-
Citation
-
-
Li Hui,et al
SKLB023 protects against inflammation and apoptosis in sepsis-associated acute kidney injury via the inhibition of toll-like receptor 4 signaling
-
WB
-
Mouse
-
Citation
-
-
J Qian,et al
The CD163/TWEAK/Fn14 axis: A potential therapeutic target for alleviating inflammatory bone loss
-
WB
-
Mouse
-
Citation
-
-
He, S., Yu, X., Cui, D., Liu, Y., Yang, S., Zhang, H., Hu, W., & Su, Z.
Nuclear factor-Y mediates pancreatic β-cell compensation by repressing reactive oxygen species-induced apoptosis under metabolic stress
-
WB
-
Mouse
-
Citation
-
-
Tang D, Yan Y, Li Y, et al
Targeting DAD1 gene with CRISPR-Cas9 system transmucosally delivered by fluorinated polylysine nanoparticles for bladder cancer intravesical gene therapy
-
WB
-
Human
-
Citation
-
-
Yuan, Y., Wang, X., Li, J., Han, L., Du, H., Sun, Y., Yang, P., Zhou, Z., Gu, M., Lu, Y., & Shen, C.
Single-Cell Sequencing Yields Insights in the Evolution of Foot-and-Mouth Disease Virus Persistent Infection
-
WB
-
Hamster
-
Citation
-
-
Transient Receptor Potential Melastatin 7 Promotes Vascular Adventitial Fibroblasts Phenotypic Transformation and Inflammatory Reaction Induced by Mechanical Stretching Stress via p38 MAPK/JNK Pathway
-
WB
-
Rat
-
Citation
-
-
Wang Meng,et al
p200CUX1-regulated BMP8B inhibits the progression of acute myeloid leukemia via the MAPK signaling pathway
-
WB
-
Human
-
Citation
-
-
Wu, H., Guo, H., Liu, H., Cui, H., Fang, J., Zuo, Z., Deng, J., Li, Y., Wang, X., & Zhao, L.
Copper sulfate-induced endoplasmic reticulum stress promotes hepatic apoptosis by activating CHOP, JNK and caspase-12 signaling pathways
-
WB
-
Mouse
-
Citation
-
-
Wen, J., Bao, Z., Li, L., Liu, Y., Wei, B., Ye, X., Xu, H., Cui, L., Li, X., Shen, G., Fang, Y., Zeng, H., Shen, Z., Guo, E., Jin, H., & Wu, L.
Qiangguyin inhibited fat accumulation in OVX mice through the p38 MAPK signaling pathway to achieve anti-osteoporosis effects
-
IHC
-
Mouse
-
Citation
-
-
SARM1 Promotes Neurodegeneration and Memory Impairment in Mouse Models of Alzheimer's Disease
-
WB
-
Mouse
-
Citation
-
-
Hu Changdong,et al
Aconitine promotes myocardial damage in rats by activating JNK1/2 pathway
-
WB
-
Rat
-
Citation
-
-
Yongru Zhou,et al
Bisphenol S exposure interrupted human embryonic stem cell derived cardiomyocytes differentiation through ER-NF-κB/ERK signaling pathway
-
WB
-
Human
-
Citation
-
-
Xiawei Wei
Napabucasin,a novel inhibitor of STAT3,inhibits growth and synergises with doxorubicin in diffuse large B-cell lymphoma
-
WB
-
Human
-
Citation
-
-
Wu Junfeng,et al
Atorvastatin exerts a preventive effect against steroid-induced necrosis of the femoral head by modulating Wnt5a release
-
IF-Tissue
-
Rat
-
Citation
-
-
Shi, H., Yang, D., Huo, Z., Li, Y., Guo, W., & Zhang, S.
MG132 protects against lung injury following brain death in rats
-
WB
-
Rat
-
Citation
-
-
Sun Zhijian,et al
H9N2 Avian Influenza Virus Downregulates FcRY Expression in Chicken Macrophage Cell Line HD11 by Activating the JNK MAPK Pathway
-
WB
-
Chicken
-
Citation
-
-
Effect of Piper nigrum essential oil in dextran sulfate sodium (DSS)-induced colitis and its potential mechanisms
-
WB
-
Mouse
-
Citation
-
-
Xin Yang,et al
Cucurbitacin B ameliorates acetaminophen induced mitochondrial oxidative stress through the Nrf2 pathway
-
WB
-
Rabbit
-
Citation
-
-
Xinming Wang,et al
Oxymatrine antagonises oxidative stress and apoptosis in Nemopilema nomurai toxin-induced cardiotoxicity by inhibiting mitogen-activated protein kinase
-
WB
-
Rat
-
Citation
-
-
Xie Binqing,et al
Cyclic tensile stress promotes osteogenic differentiation via upregulation of Piezo1 in human dental follicle stem cells
-
WB
-
Human
-
Citation
-
-
Cai Yuqiong,et al
Investigation of Metabolic and Inflammatory Disorder in the Aging FGF21 Knockout Mouse
-
WB
-
Mouse
-
Citation
-
-
EYE-503: A Novel Retinoic Acid Drug for Treating Retinal Neurodegeneration
-
WB
-
Mouse
-
Citation
-
-
Li, Y., Xu, J., Guo, X., Li, Z., Cao, L., Liu, S., Guo, Y., Wang, G., Luo, Y., Zhang, Z., Wei, X., Zhao, Y., Liu, T., Wang, X., Xia, H., Kuang, M., Guo, Q., Li, J., Chen, L., Wang, Y., … You, F.
The collateral activity of RfxCas13d can induce lethality in a RfxCas13d knock-in mouse model
-
WB
-
Human
-
Citation
-
-
Wang, C., Wei, S., Liu, B., Wang, F., Lu, Z., Jin, M., & Wang, Y.
Maternal consumption of a fermented diet protects offspring against intestinal inflammation by regulating the gut microbiota
-
WB
-
Pig
-
Citation
-
-
Yin, Y., Wang, J., Xu, X., Zhou, B., Chen, S., Qin, T., & Peng, D.
Riboflavin as a Mucosal Adjuvant for Nasal Influenza Vaccine
-
WB
-
Mouse
-
Citation
-