Skip to content

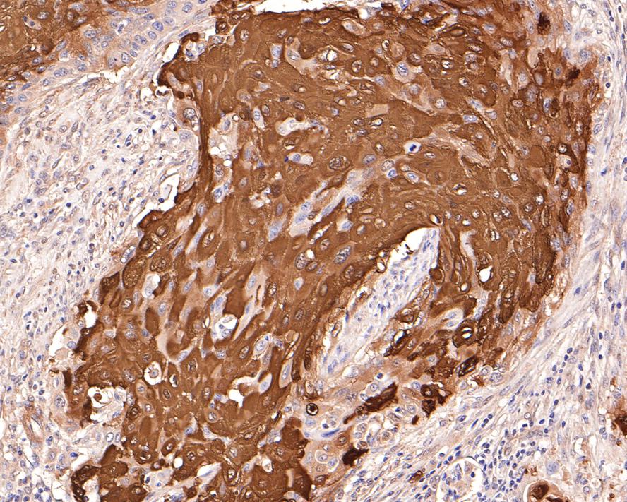
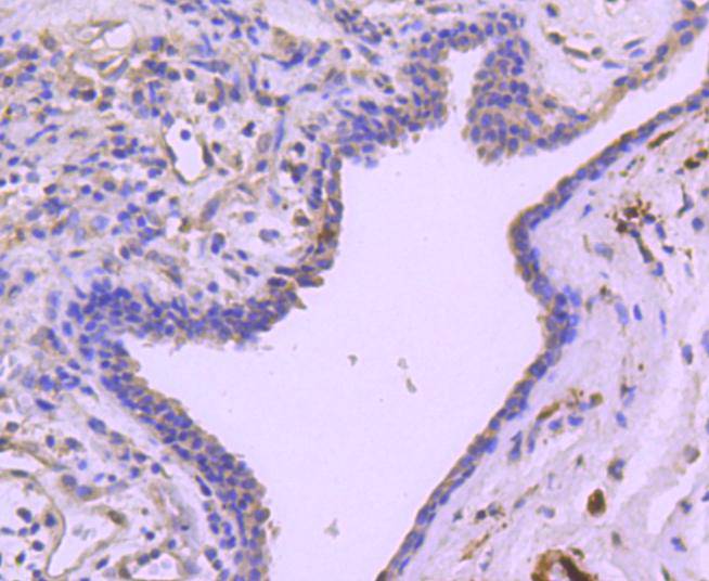
Phospho-Hsp27 (S78) Recombinant Rabbit Monoclonal Antibody [JJ08-70] (ET1701-19)

Price: Regular price $385.00

Unit price per 

Volume

Catalog# ET1701-19

Rabbit Monoclonal to Phospho-Hsp27 (S78)

Tested for
  • WB

  • IF-Cell

  • IF-Tissue

  • IHC-P

  • IP

Reacts with
  • Human

Recombinant production enables lot-to-lot consistency and is animal-cruelty-free
This product has been cited in peer reviewed publications, see list HERE
Close (esc)

Popup

Use this popup to embed a mailing list sign up form. Alternatively use it as a simple call to action with a link to a product or a page.

Age verification

By clicking enter you are verifying that you are old enough to consume alcohol.

Search

Your cart is currently empty.
Shop now