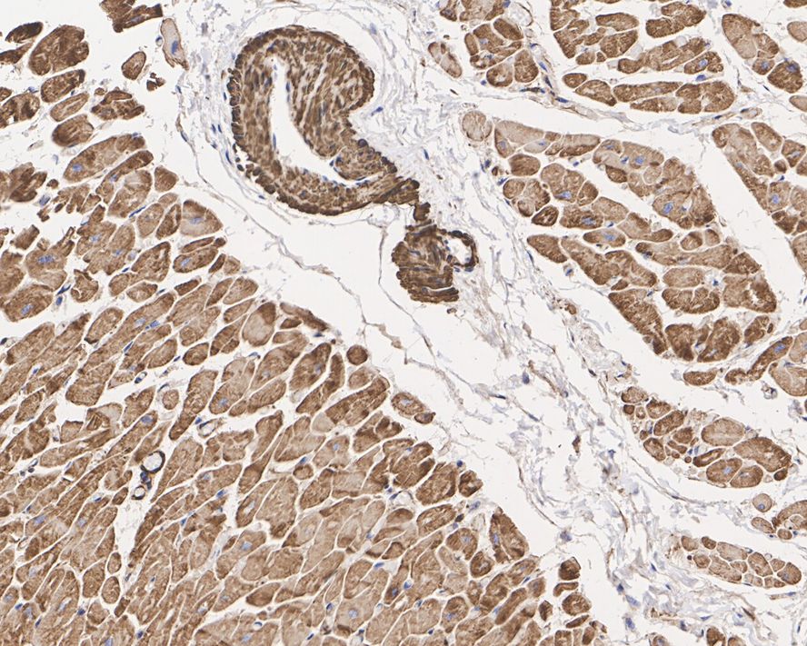
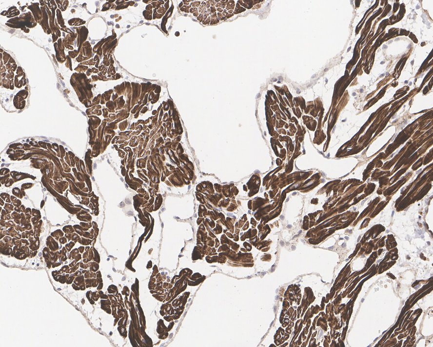
Pan-Actin Mouse Monoclonal Antibody [A2E1] (HA600032)
Catalog# HA600032
Mouse Monoclonal to Pan-Actin
Tested for
-
WB
-
IHC-P
-
IF-Cell
Reacts with
-
Human
-
Mouse
-
Rat
This product has been cited in peer reviewed publications, see list HERE