Skip to content

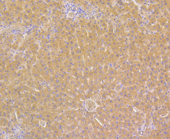
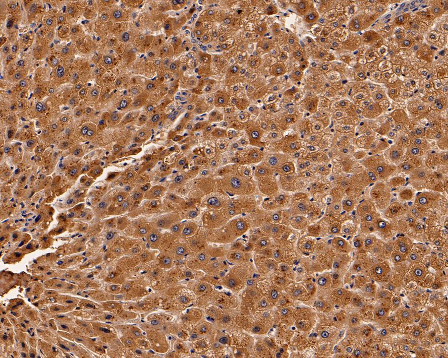
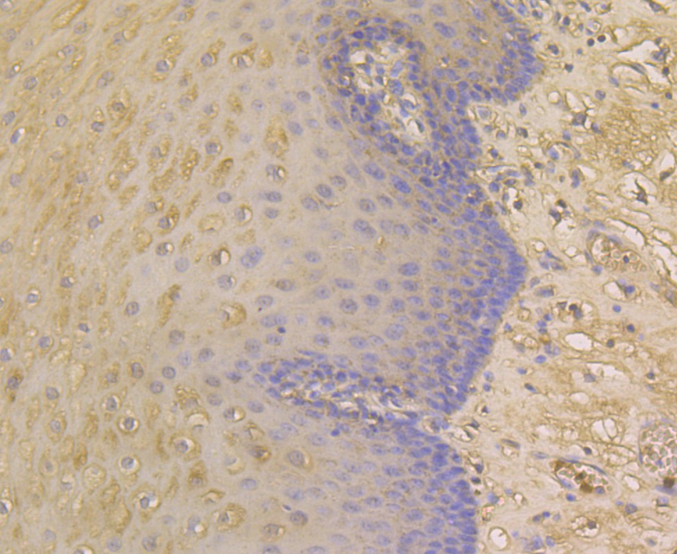
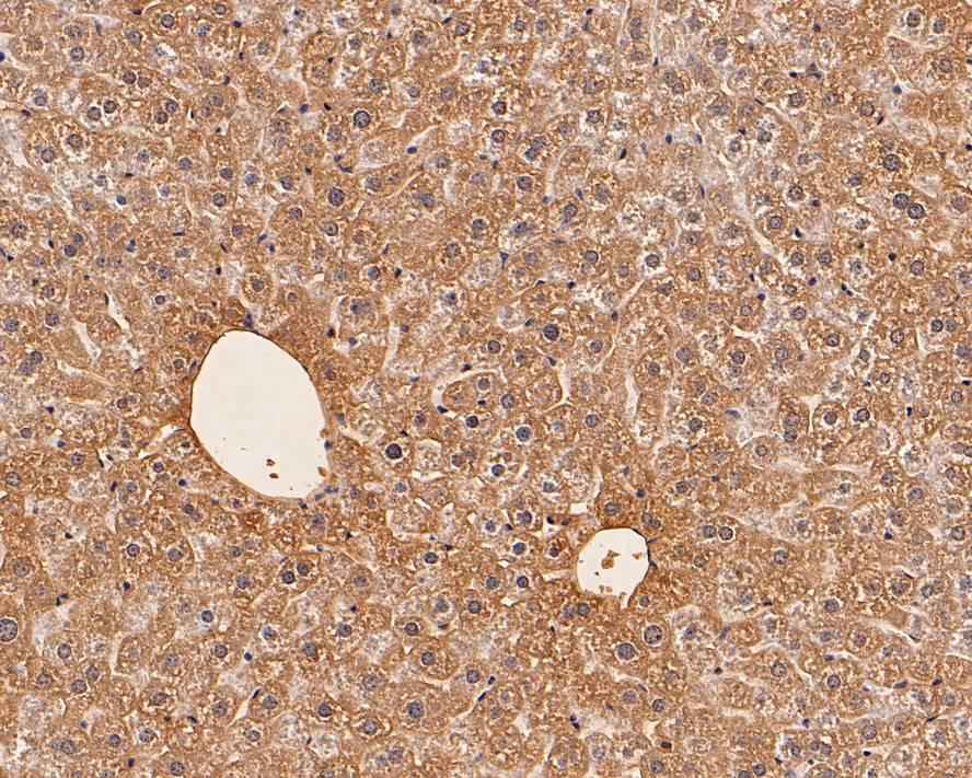
Alpha 1 Acid Glycoprotein Mouse Monoclonal Antibody [A2-B10] (EM1510-41)

Price: Regular price $350.00

Unit price per 

Volume

Catalog# EM1510-41

Mouse Monoclonal to Alpha 1 Acid Glycoprotein

Tested for
  • WB

  • IHC-P

  • FC

Reacts with
  • Human

  • Mouse

  • Rat

Close (esc)

Popup

Use this popup to embed a mailing list sign up form. Alternatively use it as a simple call to action with a link to a product or a page.

Age verification

By clicking enter you are verifying that you are old enough to consume alcohol.

Search

Your cart is currently empty.
Shop now