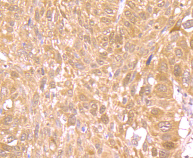
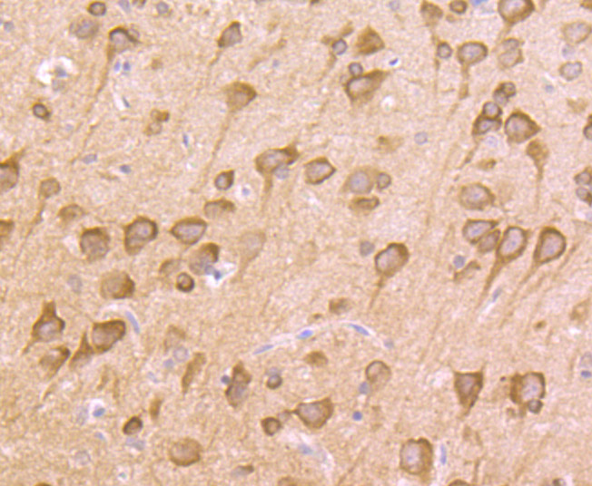
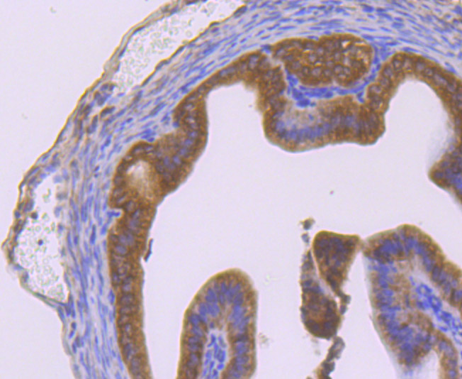
Nrf2 Rabbit Polyclonal Antibody (ER1706-41)
Catalog# ER1706-41
Rabbit Polyclonal to Nrf2
Tested for
-
IHC-P
-
IF-Cell
-
WB
Reacts with
-
Human
-
Mouse
-
Rat
This product has been cited in peer reviewed publications, see list HERE