non-muscle Myosin IIA Recombinant Rabbit Monoclonal Antibody [PSH14-10] (HA723600)
Catalog# HA723600
Rabbit Monoclonal to non-muscle Myosin IIA
Tested for
-
WB
-
IF-Cell
-
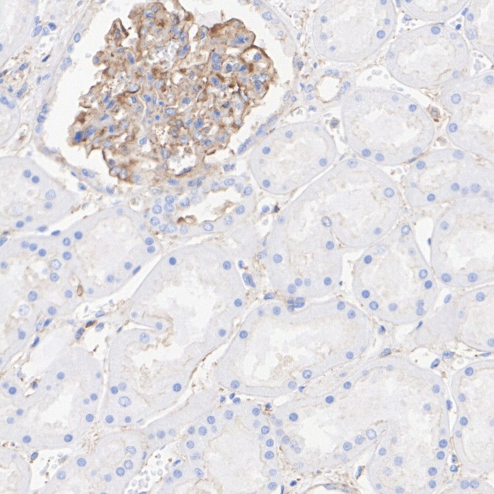
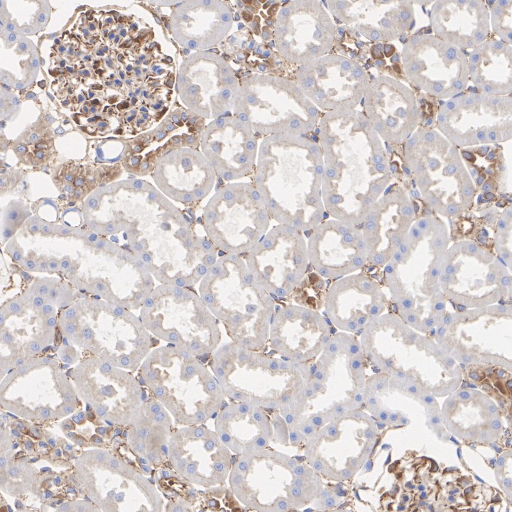
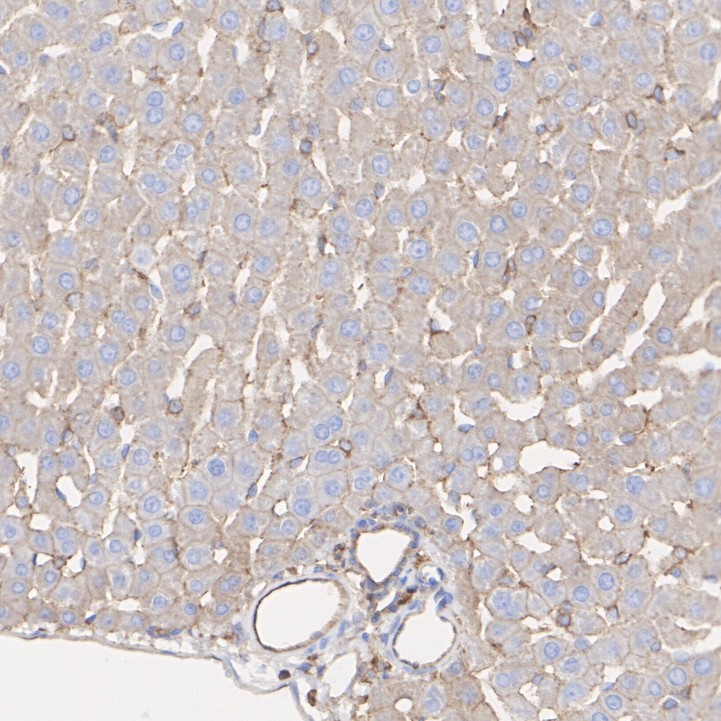
IHC-P
-
FC
-
IP
Reacts with
-
Human
-
Mouse
-
Rat
Recombinant production enables lot-to-lot consistency and is animal-cruelty-free