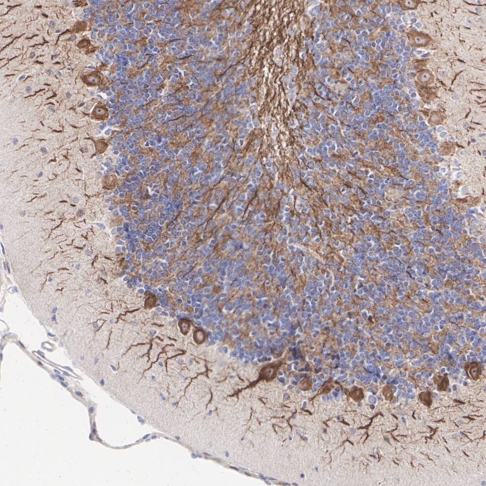
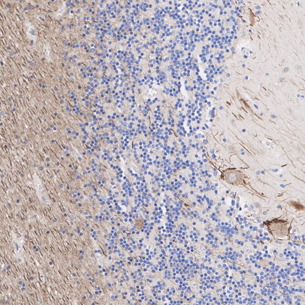
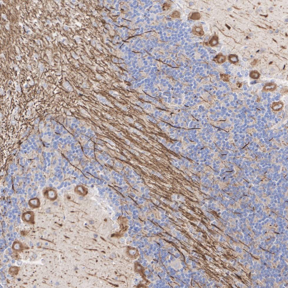
NF-H Recombinant Rabbit Monoclonal Antibody [JF99-07] (ET1702-72)
Catalog# ET1702-72
Rabbit Monoclonal to Neurofilament heavy polypeptide
Tested for
-
WB
-
IHC-P
-
IHC-Fr
-
IF-Tissue
Reacts with
-
Human
-
Mouse
-
Rat
-
Cynomolgus monkey
-
Pig
Recombinant production enables lot-to-lot consistency and is animal-cruelty-free