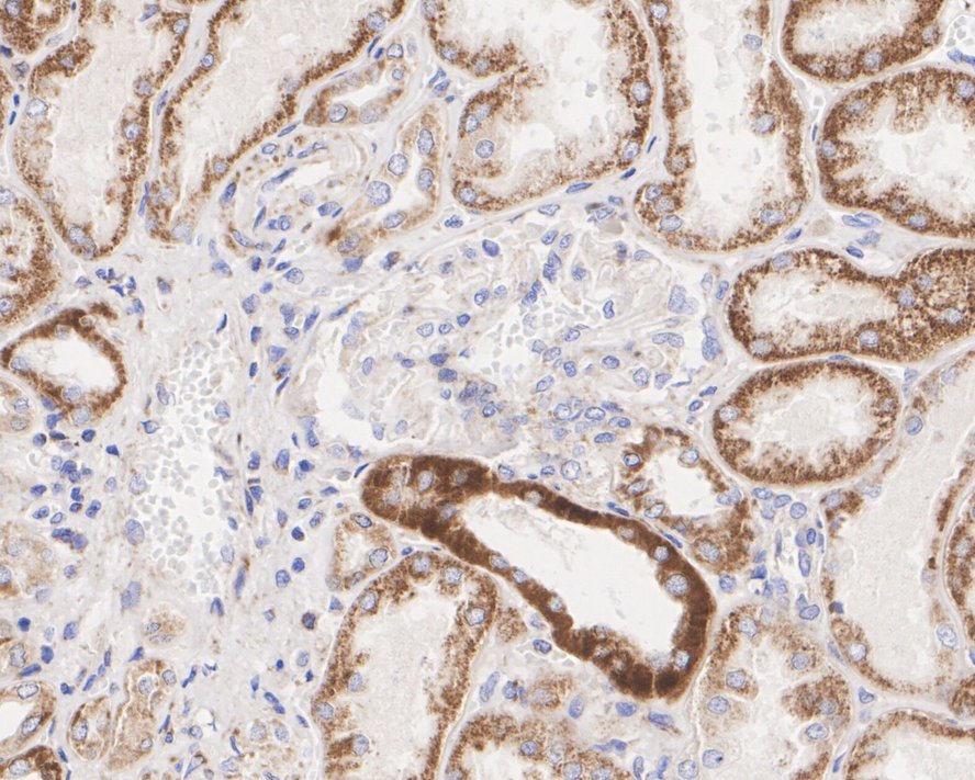
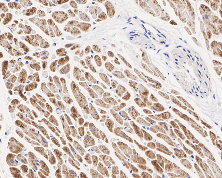
NDUFA1 Recombinant Rabbit Monoclonal Antibody [JE64-37] (HA722436)
Catalog# HA722436
Rabbit Monoclonal to NDUFA1
Tested for
-
WB
-
IHC-P
Reacts with
-
Human
Recombinant production enables lot-to-lot consistency and is animal-cruelty-free