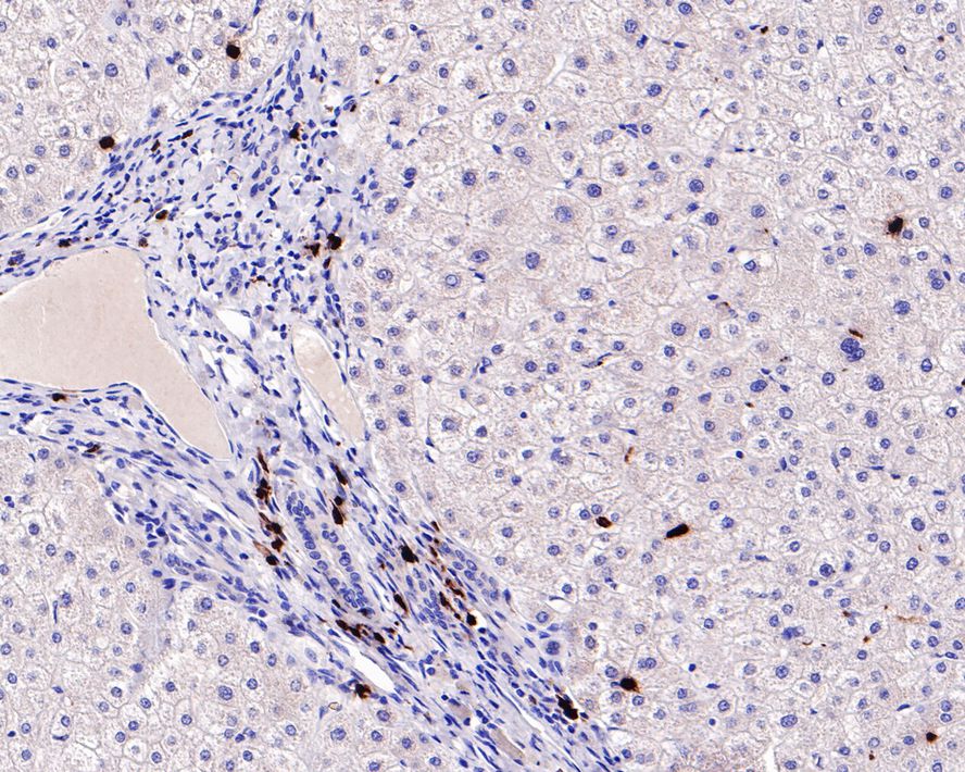
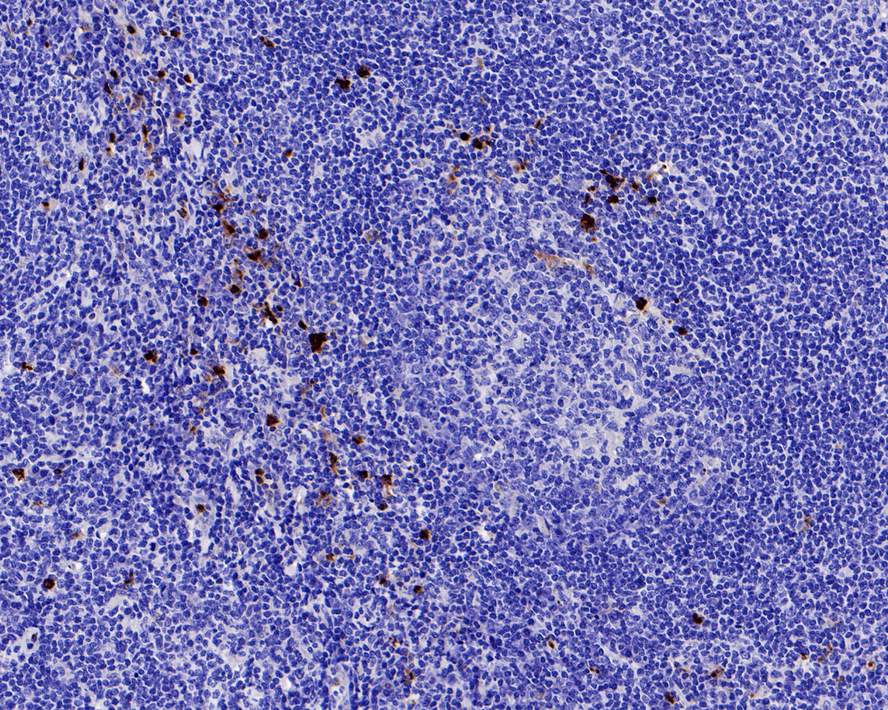
Myeloperoxidase Recombinant Rabbit Monoclonal Antibody [PD00-20] (HA721146)
Catalog# HA721146
Rabbit Monoclonal to Myeloperoxidase
Tested for
-
IHC-P
-
IF-Cell
-
WB
-
mIHC
-
IF-Tissue
Reacts with
-
Human
Recombinant production enables lot-to-lot consistency and is animal-cruelty-free