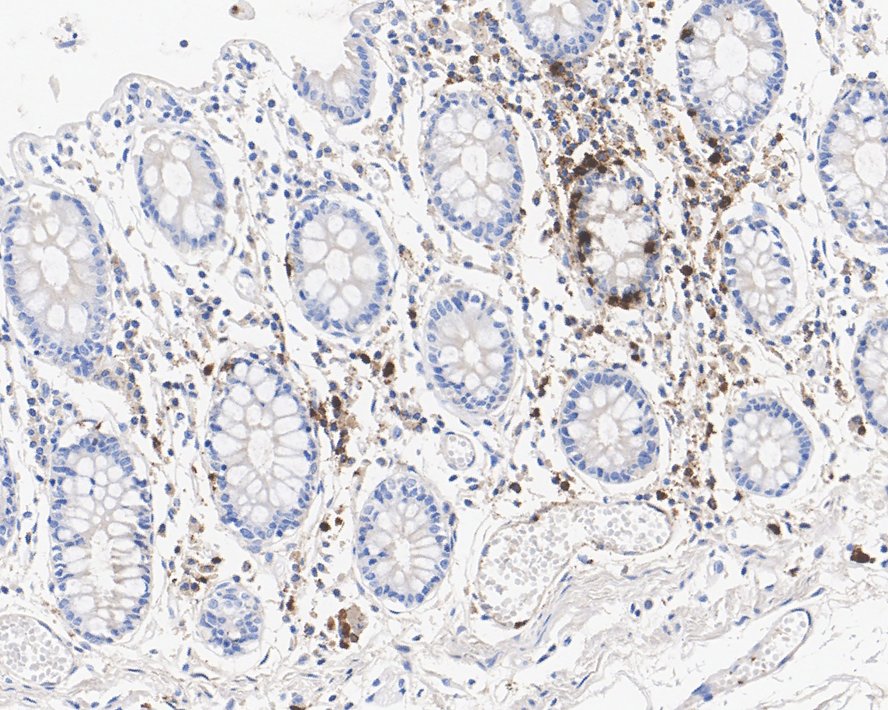
Myeloperoxidase Recombinant Mouse Monoclonal Antibody [A1F2-R] (HA601249)
Catalog# HA601249
Mouse Monoclonal to Myeloperoxidase
Tested for
-
WB
-
IHC-P
-
IF-Cell
-
IF-Tissue
-
mIHC
Reacts with
-
Human
-
Mouse
-
Rat
Recombinant production enables lot-to-lot consistency and is animal-cruelty-free