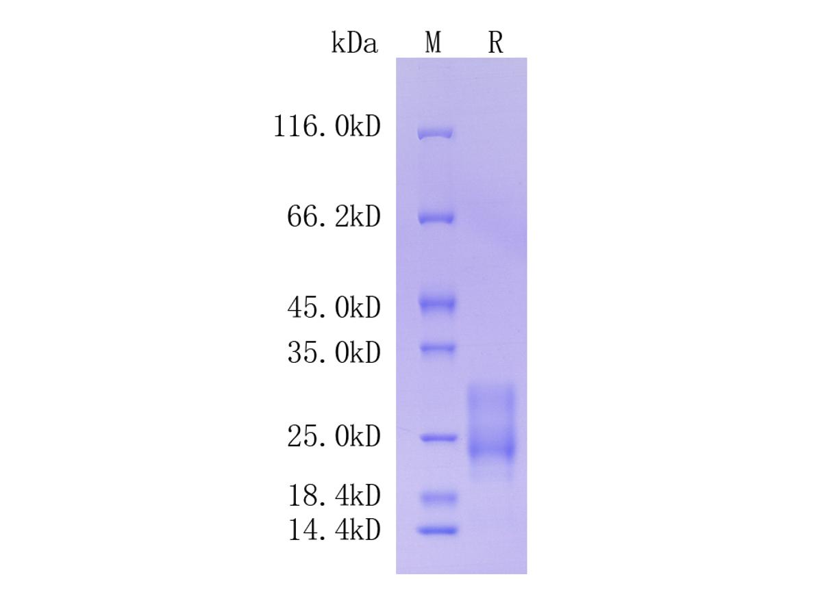
Mouse TSLP, Tag Free Protein (HA211088)
Catalog# HA211088
Reacts with
-
Mouse