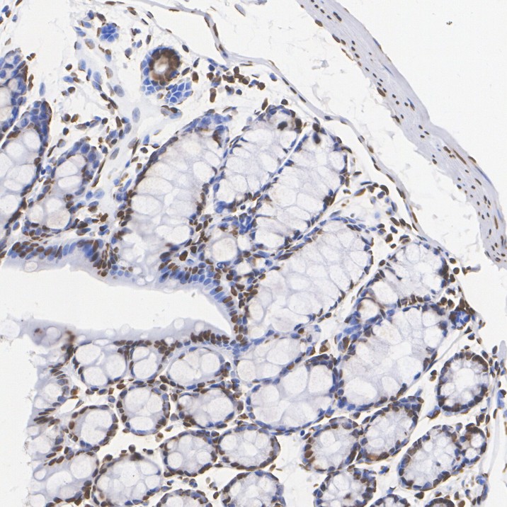
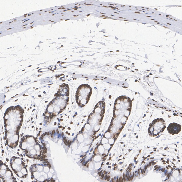
Histone H3 (mono+di+tri methyl K79) Recombinant Rabbit Monoclonal Antibody [PSH09-10] (HA723068)
Catalog# HA723068
Rabbit Monoclonal to Mono+Di+Tri-Methyl-Histone H3 (K79)
Tested for
-
WB
-
IHC-P
-
IF-Cell
-
ChIP
Reacts with
-
Human
-
Mouse
-
Rat
-
Monkey
Recombinant production enables lot-to-lot consistency and is animal-cruelty-free