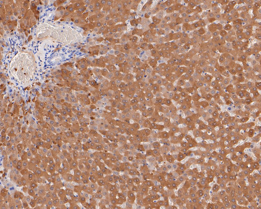
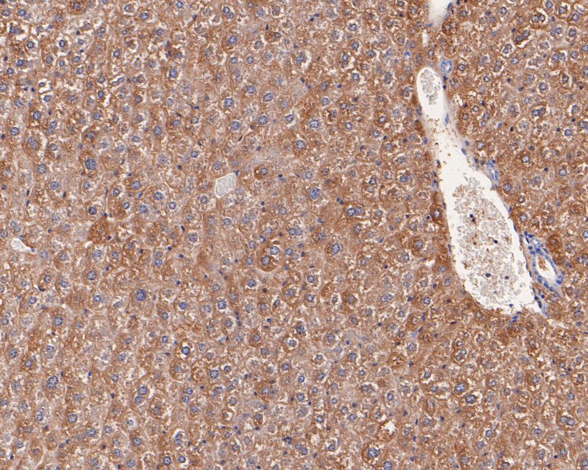
MAT1A Rabbit Polyclonal Antibody (HA500232)
Catalog# HA500232
Rabbit Polyclonal to MAT1A
Tested for
-
WB
-
IHC-P
Reacts with
-
Human
-
Mouse
-
Rat