Skip to content

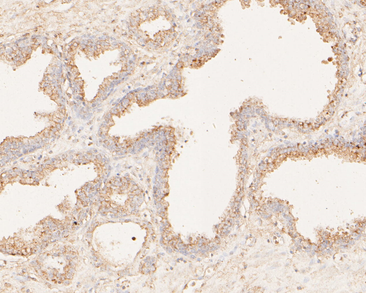
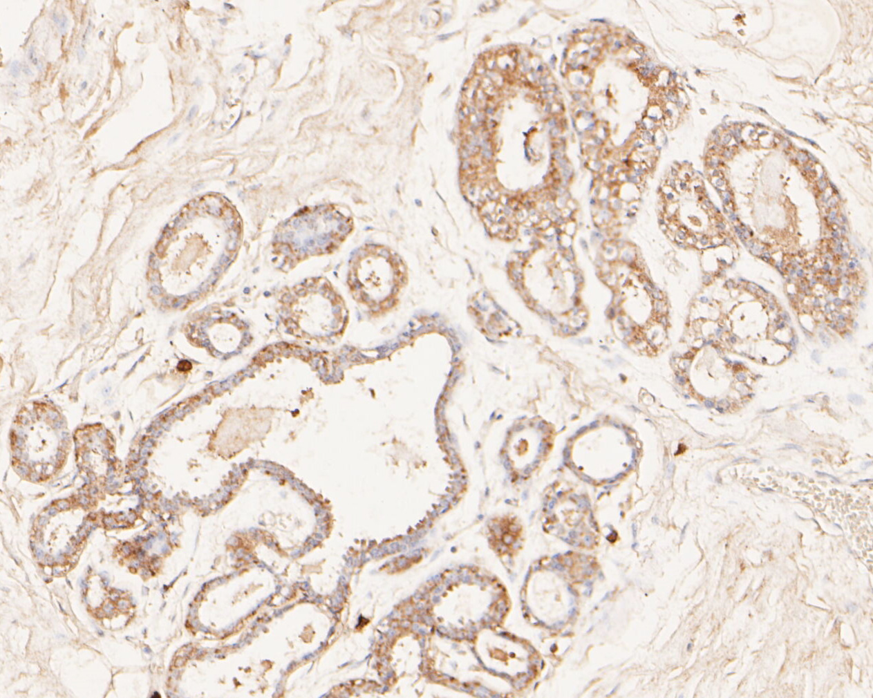
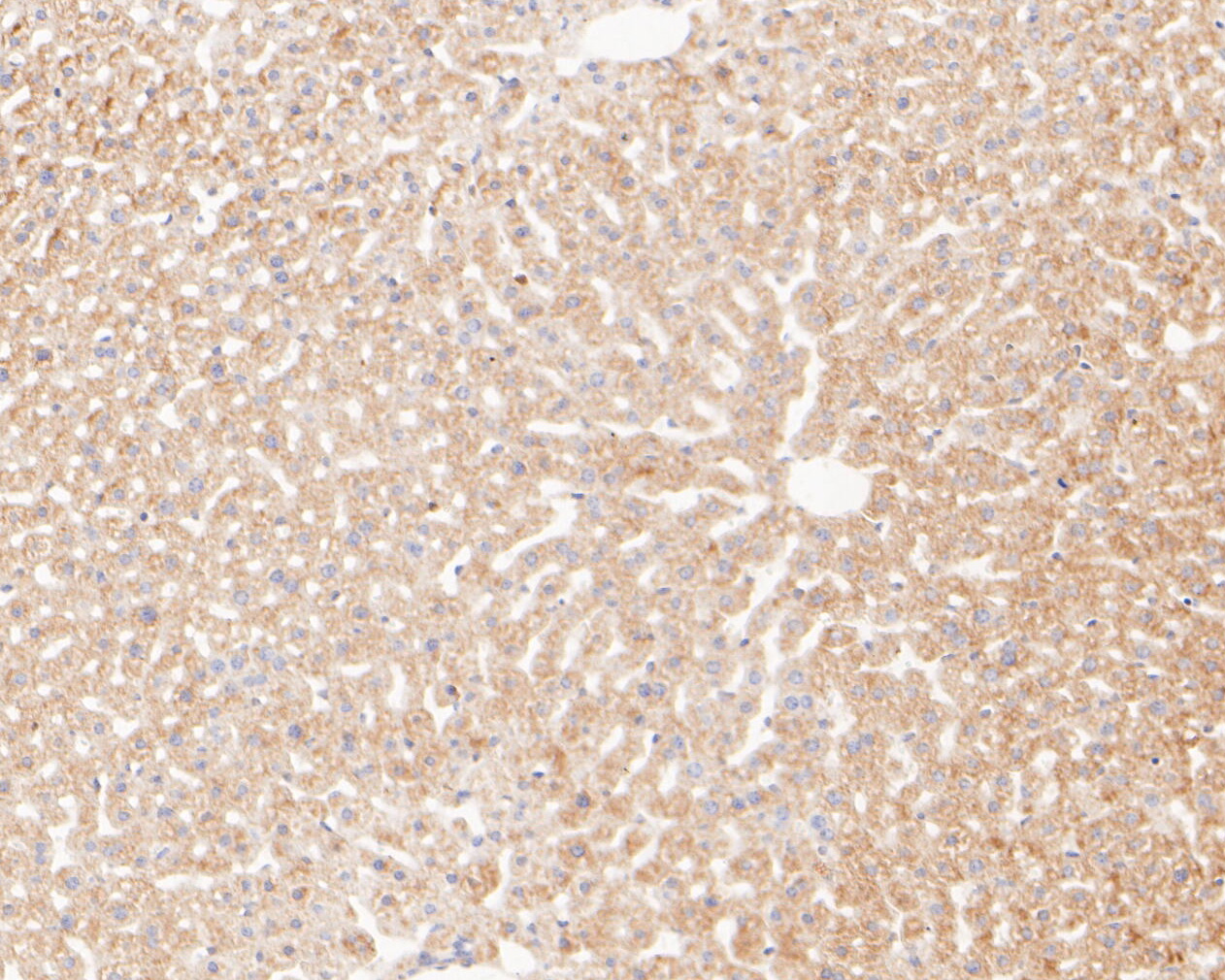
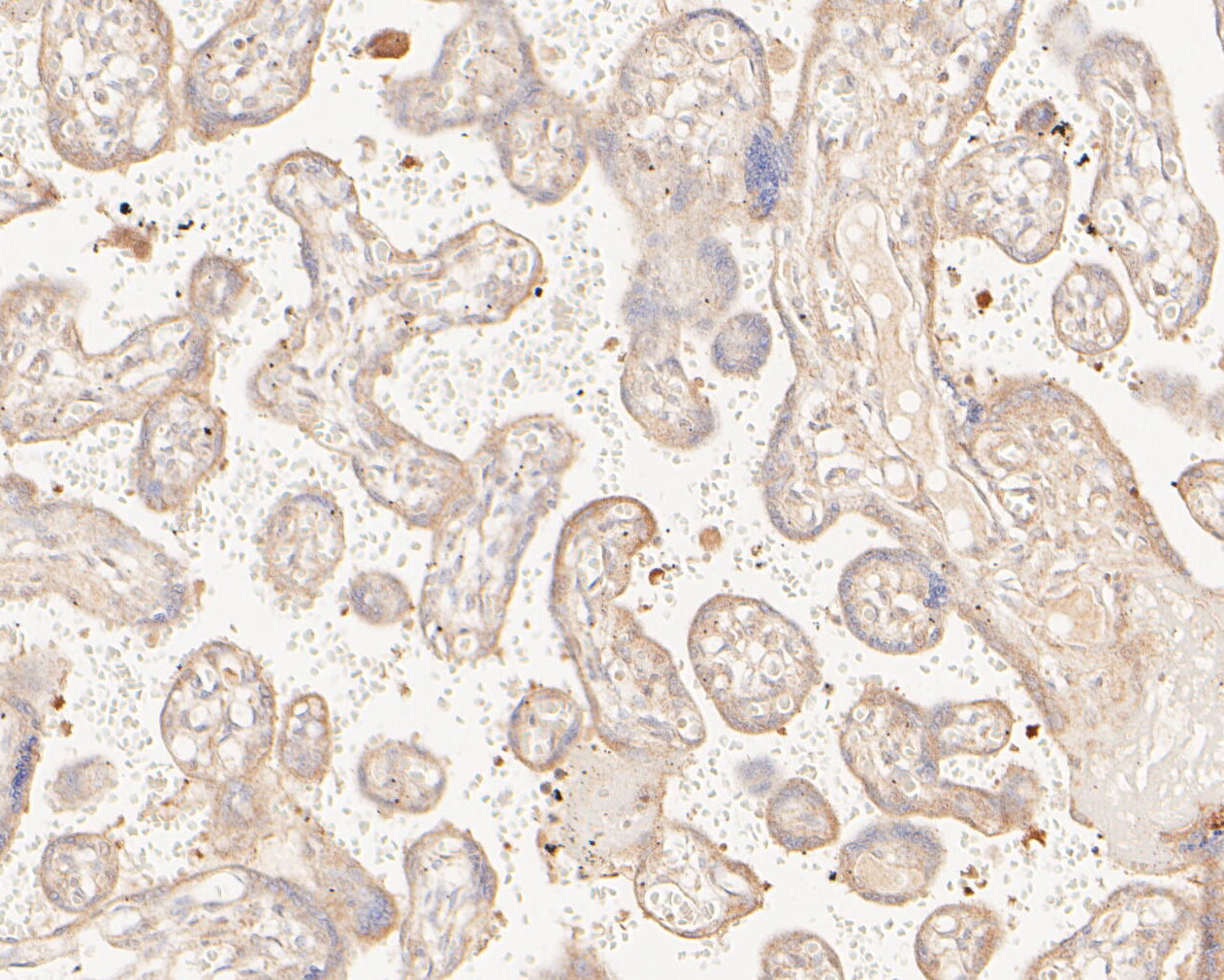
MAGT1 Rabbit Polyclonal Antibody (ER1902-99)

Price: Regular price $315.00

Unit price per 

Volume

Catalog# ER1902-99

Rabbit Polyclonal to MAGT1

Tested for
  • WB

  • IHC-P

  • FC

Reacts with
  • Human

  • Mouse

  • Rat

Close (esc)

Popup

Use this popup to embed a mailing list sign up form. Alternatively use it as a simple call to action with a link to a product or a page.

Age verification

By clicking enter you are verifying that you are old enough to consume alcohol.

Search

Your cart is currently empty.
Shop now