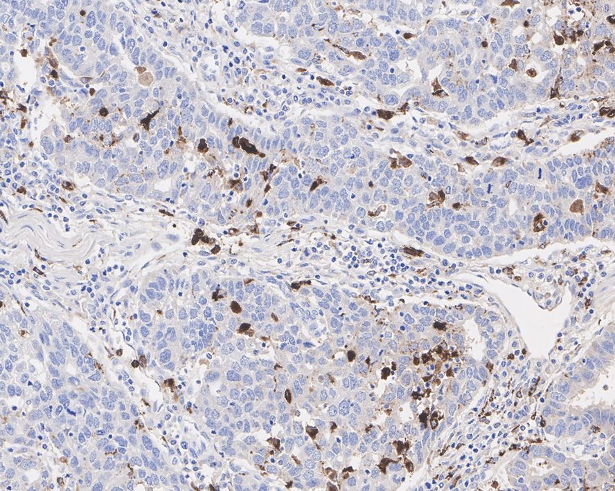
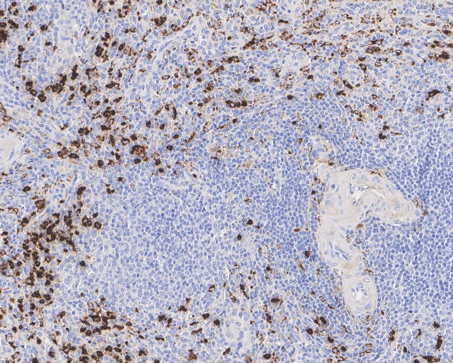
Lysozyme Mouse Monoclonal Antibody [A5A8] (EM1901-98)
Catalog# EM1901-98
Mouse Monoclonal to Lysozyme
Tested for
-
WB
-
IHC-P
Reacts with
-
Human