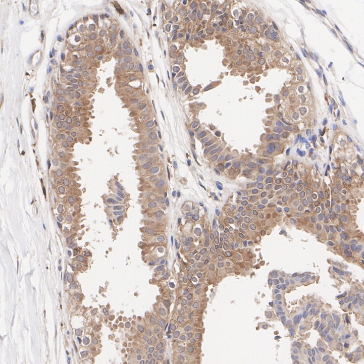
Livin Recombinant Rabbit Monoclonal Antibody - BSA and Azide free [PSH12-72] (HA751448)
Catalog# HA751448
Rabbit Monoclonal to Livin
Tested for
-
WB
-
IHC-P
-
IP
Reacts with
-
Human
Recombinant production enables lot-to-lot consistency and is animal-cruelty-free