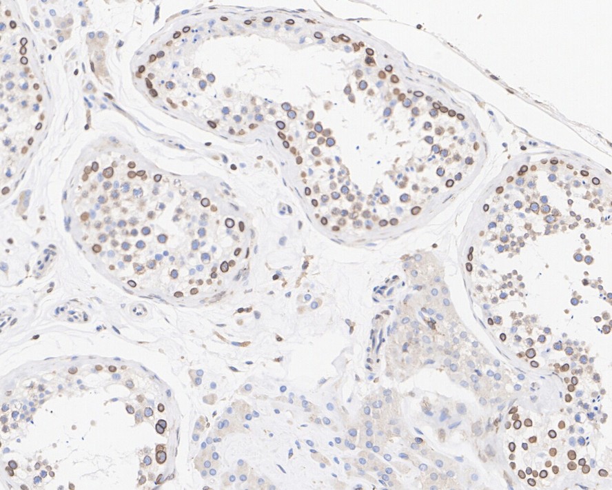
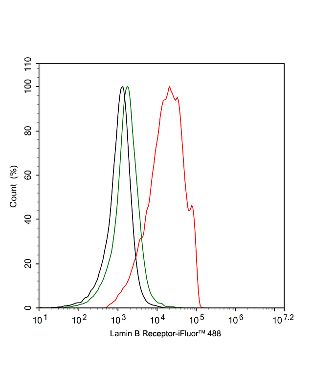
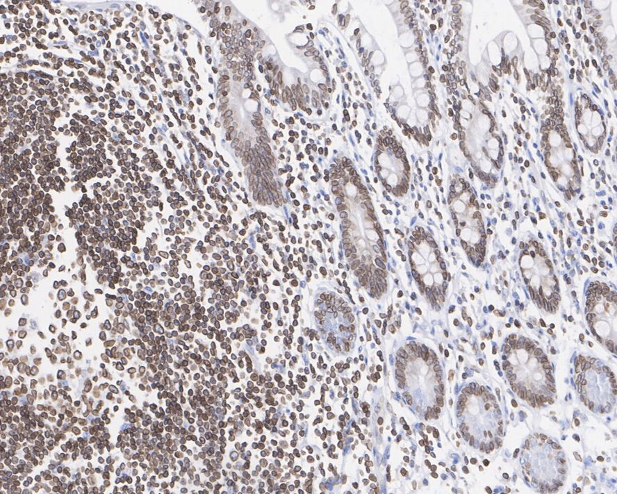
Lamin B Receptor / LBR Recombinant Rabbit Monoclonal Antibody [PSH02-93] (HA721912)
Catalog# HA721912
Rabbit Monoclonal to Lamin B Receptor / LBR
Tested for
-
WB
-
IHC-P
-
IF-Cell
-
FC
Reacts with
-
Human
Recombinant production enables lot-to-lot consistency and is animal-cruelty-free