Skip to content

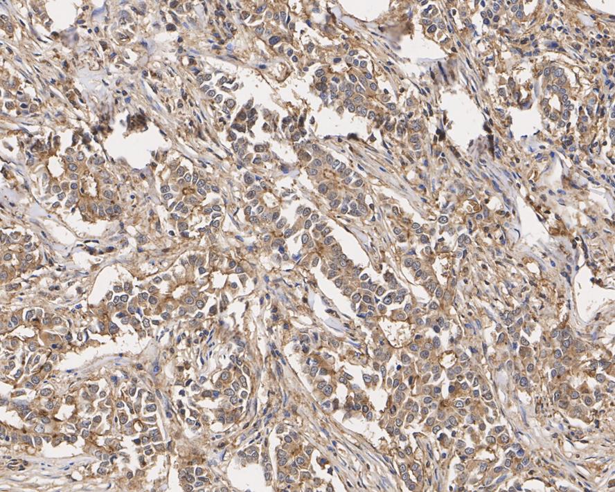
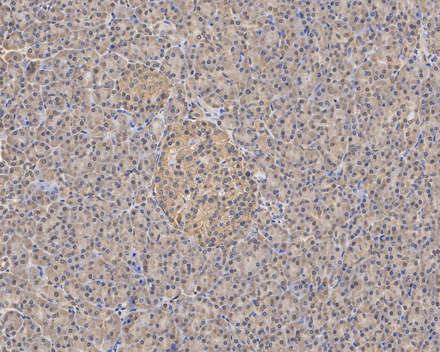
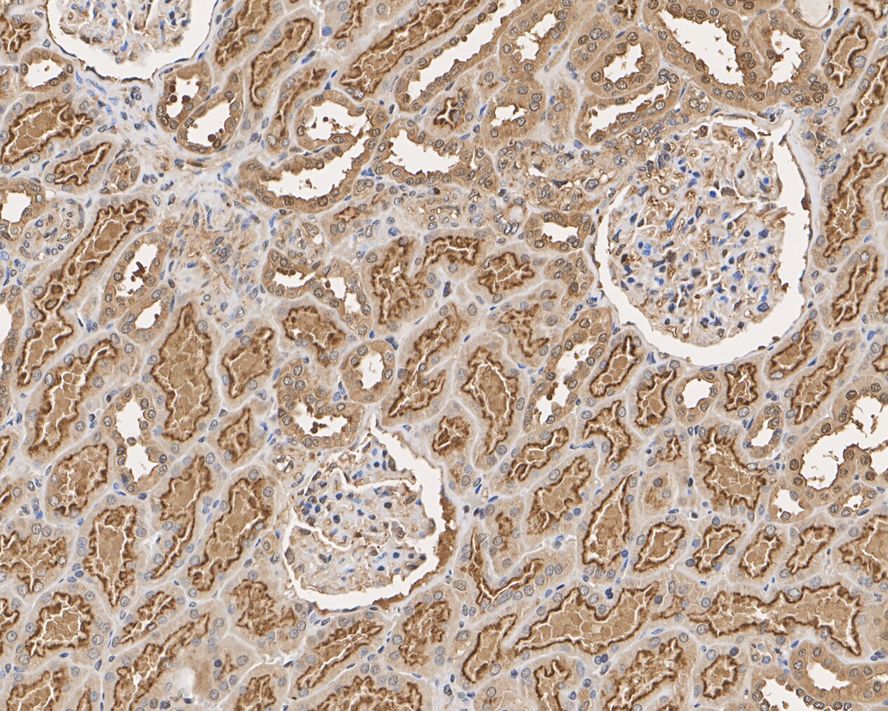
KIAA0100 Recombinant Mouse Monoclonal Antibody - BSA and Azide free [A0-F3-R] (HA610189)

Price: Regular price $649.00

Unit price per 

Product size

Catalog# HA610189

Mouse Monoclonal to KIAA0100

Tested for
  • WB

  • IF-Cell

  • IHC-P

Reacts with
  • Human

Recombinant production enables lot-to-lot consistency and is animal-cruelty-free
Close (esc)

Popup

Use this popup to embed a mailing list sign up form. Alternatively use it as a simple call to action with a link to a product or a page.

Age verification

By clicking enter you are verifying that you are old enough to consume alcohol.

Search

Your cart is currently empty.
Shop now