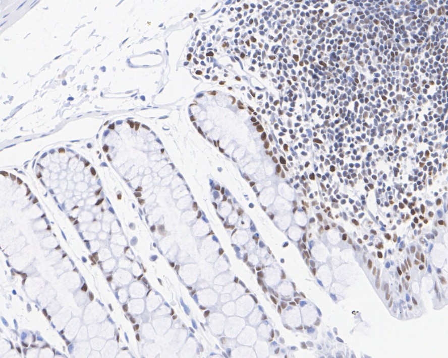
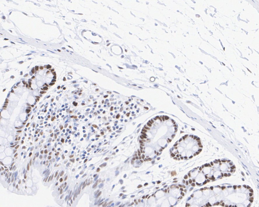
KAT1 / HAT1 Recombinant Rabbit Monoclonal Antibody [JE36-62] (HA722332)
Catalog# HA722332
Rabbit Monoclonal to KAT1 / HAT1
Tested for
-
WB
-
IF-Cell
-
IHC-P
-
IP
-
IF-Tissue
Reacts with
-
Human
-
Mouse
-
Rat
-
Monkey
Recombinant production enables lot-to-lot consistency and is animal-cruelty-free