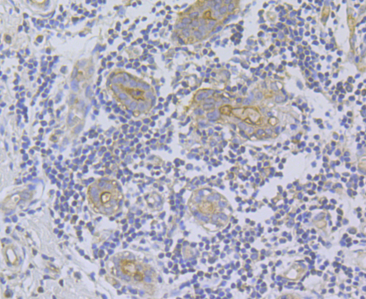
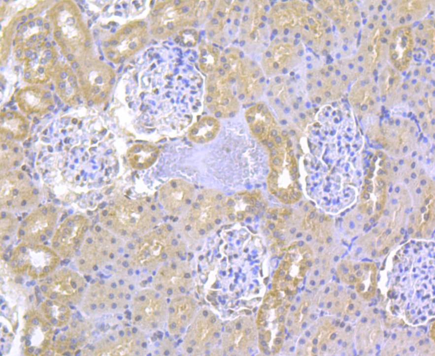
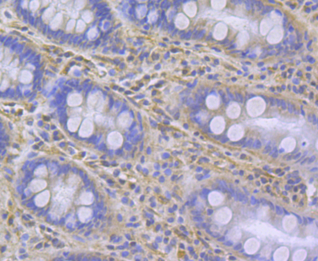
ITPR2 Rabbit Polyclonal Antibody (ER1803-65)
Catalog# ER1803-65
Rabbit Polyclonal to ITPR2
Tested for
-
Dot Blot
-
IF-Cell
-
IHC-P
-
FC
Reacts with
-
Human
-
Mouse
-
Rat