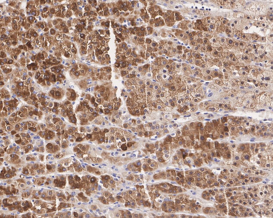
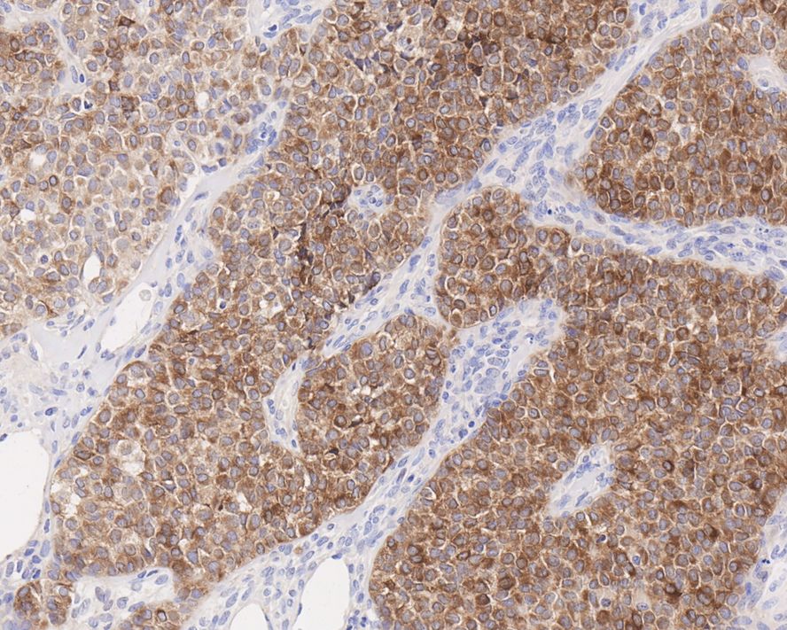
Inhibin alpha Recombinant Rabbit Monoclonal Antibody [PD01-29] (HA722301)
Catalog# HA722301
Rabbit Monoclonal to Inhibin alpha
Tested for
-
IHC-P
-
WB
Reacts with
-
Human
-
Mouse
-
Rat
Recombinant production enables lot-to-lot consistency and is animal-cruelty-free