Skip to content

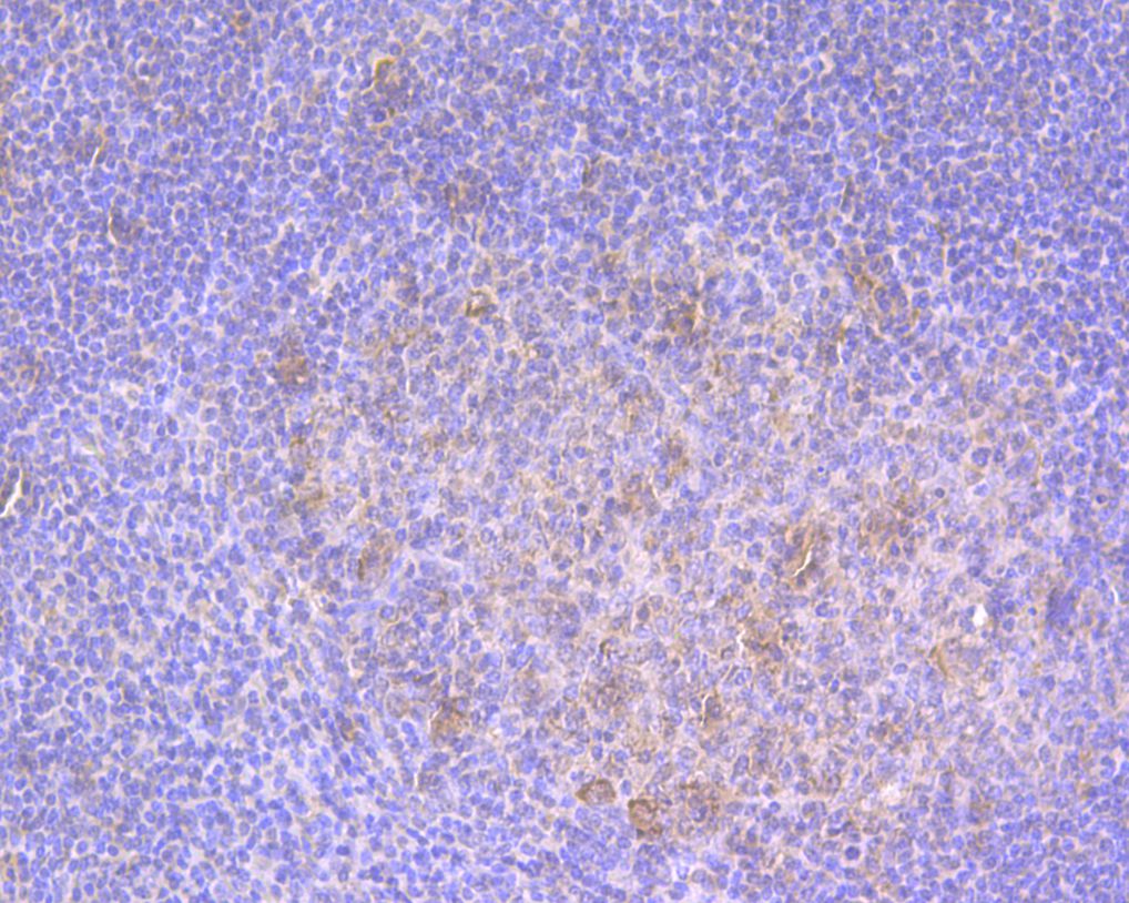
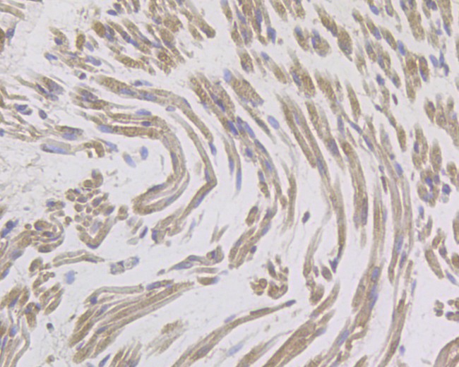
IL-8 Rabbit Polyclonal Antibody (ER1901-61)

Price: Regular price $315.00

Unit price per 

Volume

Catalog# ER1901-61

Rabbit Polyclonal to IL-8

Tested for
  • WB

  • IHC-P

  • IF-Cell

  • FC

Reacts with
  • Human

This product has been cited in peer reviewed publications, see list HERE
Close (esc)

Popup

Use this popup to embed a mailing list sign up form. Alternatively use it as a simple call to action with a link to a product or a page.

Age verification

By clicking enter you are verifying that you are old enough to consume alcohol.

Search

Your cart is currently empty.
Shop now