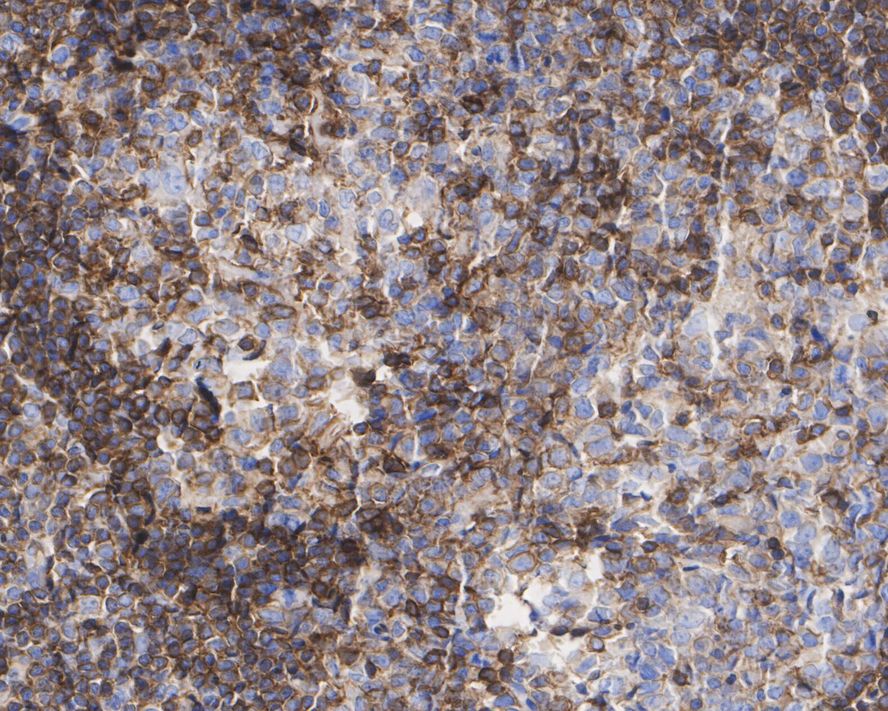
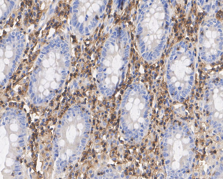
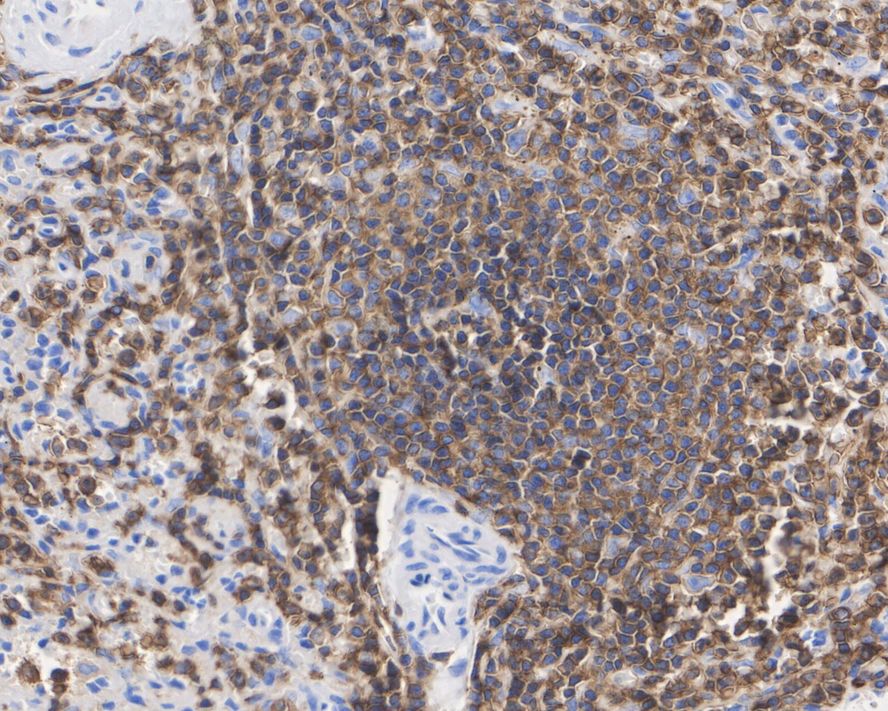
ICAM3 Recombinant Rabbit Monoclonal Antibody [JE63-07] (HA722467)
Catalog# HA722467
Rabbit Monoclonal to ICAM3
Tested for
-
WB
-
IHC-P
Reacts with
-
Human
Recombinant production enables lot-to-lot consistency and is animal-cruelty-free