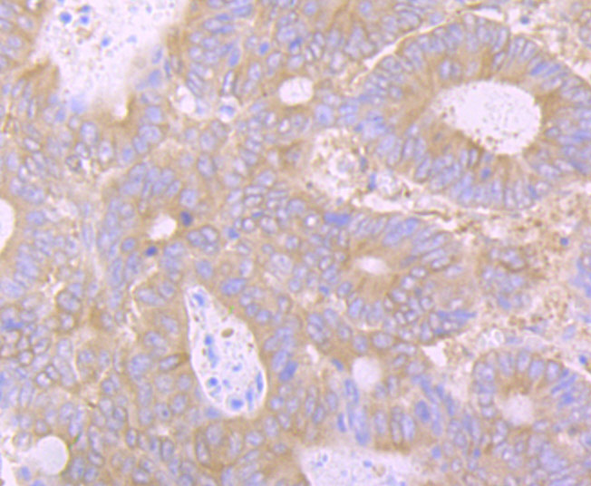
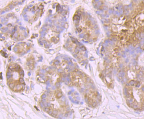
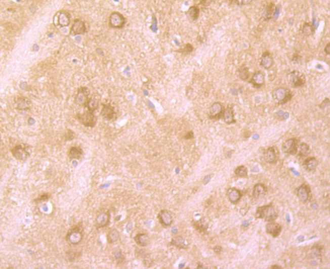
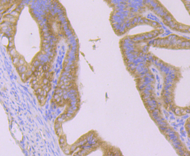
Huntingtin Recombinant Rabbit Monoclonal Antibody [JB89-34] (ET7107-60)
Catalog# ET7107-60
Rabbit Monoclonal to Huntingtin
Tested for
-
WB
-
IHC-P
-
FC
-
IHC-Fr
-
IF-Cell
-
IF-Tissue
Reacts with
-
Human
-
Mouse
-
Rat
-
Pig
Recombinant production enables lot-to-lot consistency and is animal-cruelty-free