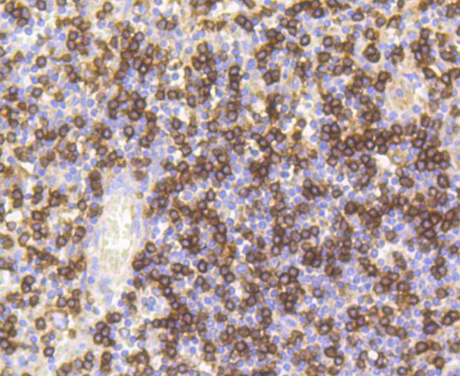
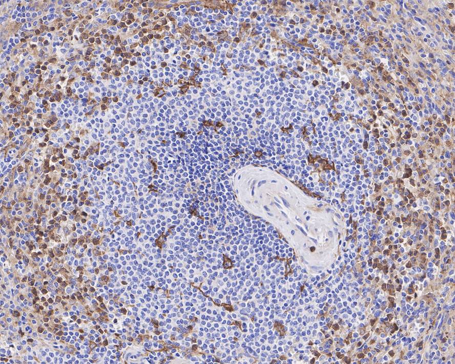
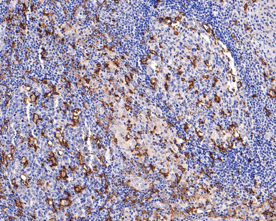
Human Immune Cell Phenotyping IHC Antibody Sampler Kit (HAK21051)
Catalog# HAK21051
Reacts with
-
Human