Skip to content

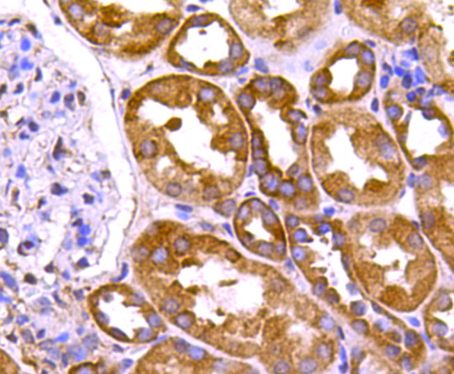
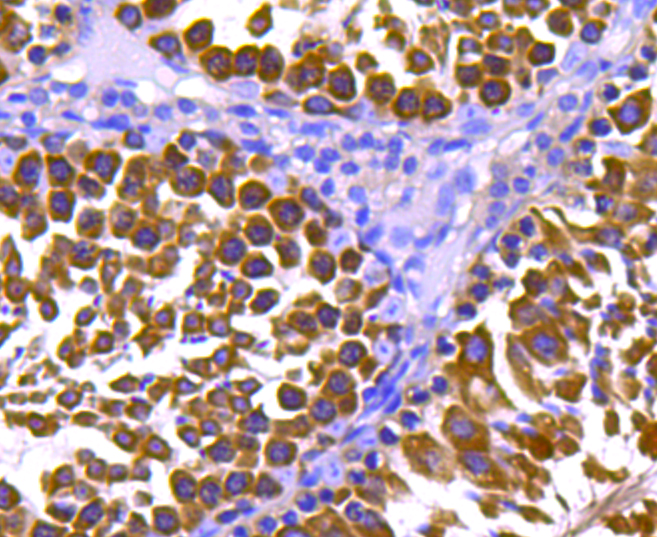
Hsp90 alpha Rabbit Polyclonal Antibody (R1510-29)

Price: Regular price $315.00

Unit price per 

Volume

Catalog# R1510-29

Rabbit Polyclonal to Hsp90 alpha

Tested for
  • WB

  • IF-Cell

  • IHC-P

  • FC

Reacts with
  • Human

  • Mouse

  • Rat

This product has been cited in peer reviewed publications, see list HERE
Close (esc)

Popup

Use this popup to embed a mailing list sign up form. Alternatively use it as a simple call to action with a link to a product or a page.

Age verification

By clicking enter you are verifying that you are old enough to consume alcohol.

Search

Your cart is currently empty.
Shop now