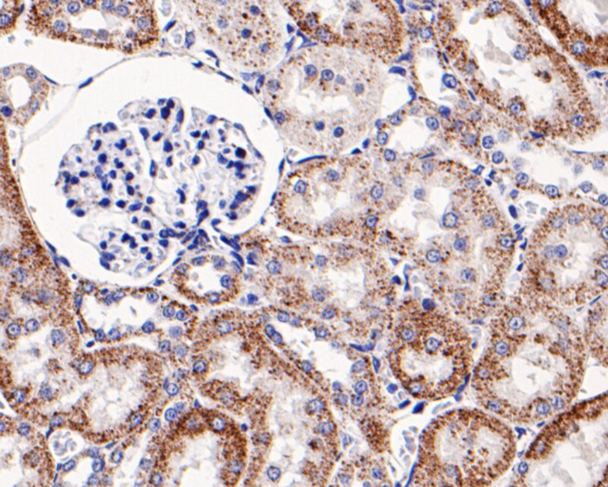
HSP60 Mouse Monoclonal Antibody [9-49] (M1007-9)
Catalog# M1007-9
Mouse Monoclonal to HSP60
Tested for
-
WB
-
IF-Cell
-
IHC-P
-
FC
Reacts with
-
Human
-
Mouse
-
Rat