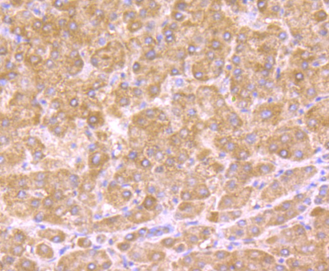
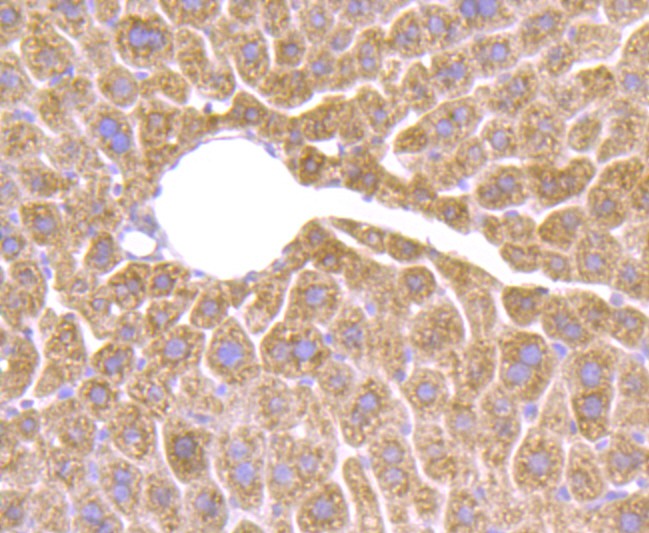
HSD11B1 Recombinant Rabbit Monoclonal Antibody [JU18-39] (ET1706-27)
Catalog# ET1706-27
Rabbit Monoclonal to HSD11B1
Tested for
-
WB
-
IHC-P
Reacts with
-
Human
-
Mouse
-
Rat
Recombinant production enables lot-to-lot consistency and is animal-cruelty-free