Hsc70 Rabbit Polyclonal Antibody (R1511-6)
Catalog# R1511-6
Rabbit Polyclonal to Hsc70
Tested for
-
WB
-
IF-Cell
-
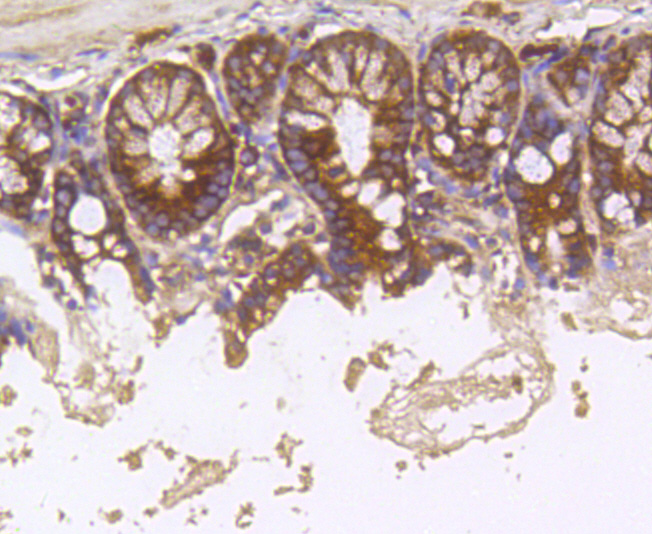
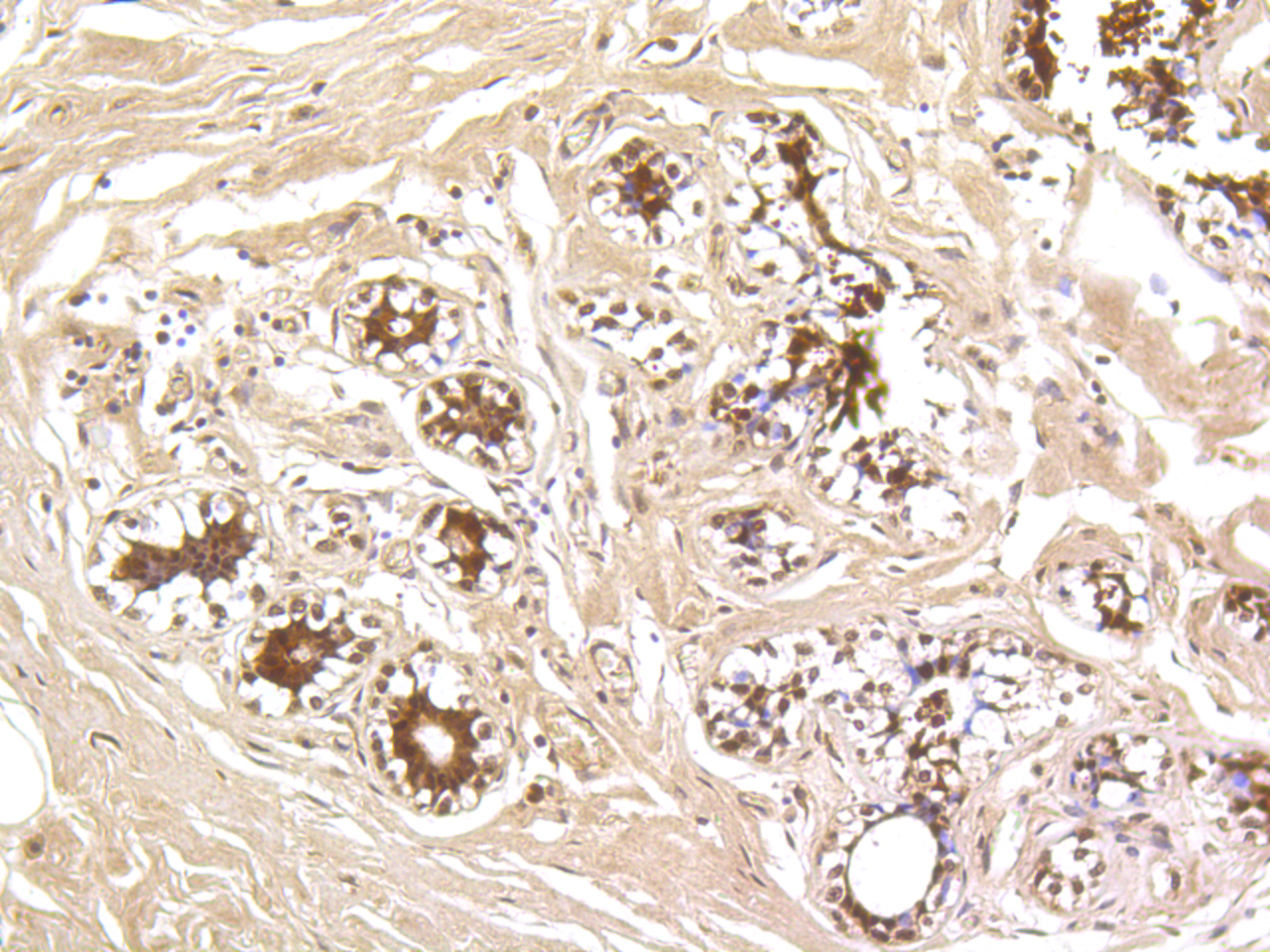
IHC-P
Reacts with
-
Human
-
Mouse
-
Rat
This product has been cited in peer reviewed publications, see list HERE