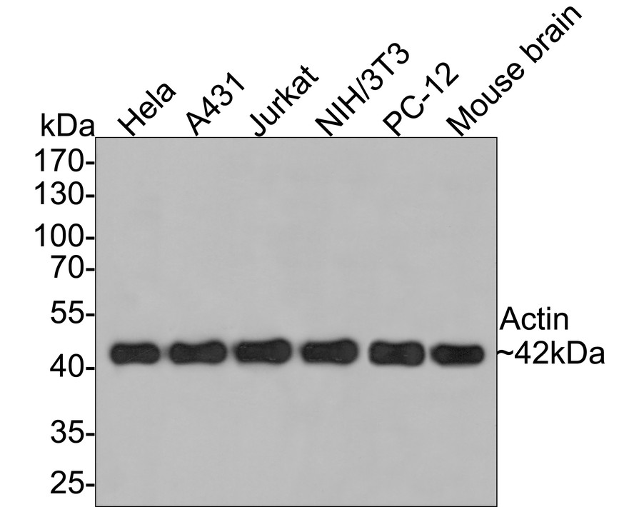
HRP Conjugated Actin Recombinant Rabbit Monoclonal Antibody [JJ09-29] (HA721186)
Catalog# HA721186
Rabbit Monoclonal to Actin
Tested for
-
WB
Reacts with
-
Human
-
Mouse
-
Rat
Recombinant production enables lot-to-lot consistency and is animal-cruelty-free
Conjugated to HRP
This product has been cited in peer reviewed publications, see list HERE