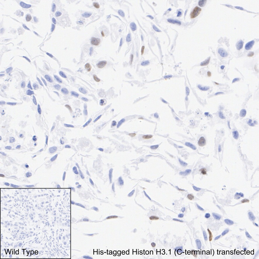
HRP Conjugated 6X His tag Recombinant Rabbit Monoclonal Antibody [PSH07-10] (HA722965)
Catalog# HA722965
Rabbit Monoclonal to 6X His tag
Tested for
-
WB
-
IHC-P
Reacts with
-
Species independent
Recombinant production enables lot-to-lot consistency and is animal-cruelty-free
Conjugated to HRP