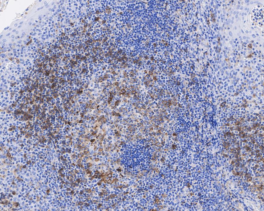
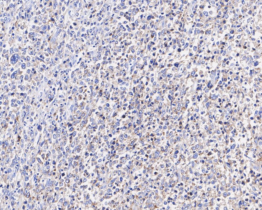
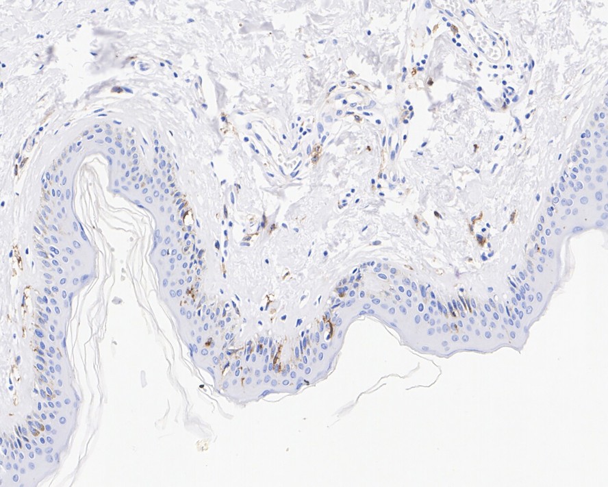
HLA Class II DRB1 Recombinant Rabbit Monoclonal Antibody [JE60-43] (HA721927)
Catalog# HA721927
Rabbit Monoclonal to HLA Class II DRB1
Tested for
-
WB
-
IHC-P
-
IF-Tissue
Reacts with
-
Human
Recombinant production enables lot-to-lot consistency and is animal-cruelty-free